Воспаление

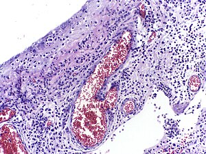
Файл:Acute inflammatory exudate.jpg
Острый воспалительный экссудат

Воспале́ние (лат. inflammatio — от inflammare «поджигать», «воспламенять») — универсальная биологическая реакция живых тканей на повреждающие воздействия, которая характеризуется комплексом сосудистых, клеточных и молекулярных изменений, направленных на нейтрализацию вредных агентов и восстановление повреждённых структур[1]. Данный феномен объединяет древнейшие эволюционные механизмы защиты с современными достижениями иммунологии, представляя собой одну из фундаментальных основ выживания всех форм жизни — от простейших одноклеточных до высших млекопитающих.

История изучения воспаления

Древние наблюдения

Первые систематические наблюдения воспалительных явлений принадлежат римскому врачу и философу Авлу Корнелию Цельсу (около 25 г. до н. э. — 50 г. н. э.)[2]. Он сформулировал четыре классических признака:

  • покраснение (rubor);
  • отёк (tumor);
  • жар (calor);
  • боль (dolor).

Позднее к этой четвёрке был добавлен пятый признак — нарушение функции (functio laesa).

Развитие научных представлений

Научная революция в понимании воспалительных процессов связана с именами выдающихся исследователей XVIII-XIX веков. Джон Хантер (1728-1794) заложил основы экспериментального изучения воспаления, а Рудольф Вирхов (1821—1902) развил клеточную теорию патологии.

Особое место занимает Илья Ильич Мечников (1845-1916), чьи работы по фагоцитозу революционизировали представления о клеточных механизмах защиты. Мечников рассматривал воспалительную реакцию как эволюционно выработанный защитный механизм, хотя и признавал его несовершенство[3].

Современная наука характеризует воспаление не как патологический процесс, а как естественную реакцию здоровых тканей на повреждение. Патологическими следует считать лишь отклонения от нормального течения воспалительной реакции.

Биологическая природа воспаления

Универсальность защиты

Воспалительные механизмы демонстрируют поразительную консервативность в эволюционном плане. Воспаление присуще всем представителям животного мира — от примитивных одноклеточных организмов до высших млекопитающих, включая человека[4].

Эта универсальность указывает на фундаментальное значение воспалительных реакций для выживания живых систем. Воспаление функционирует как ключевой компонент врождённого иммунитета, обеспечивая быструю неспецифическую защиту организма.

Три фазы защитной реакции

Воспалительная реакция развивается через последовательность трёх взаимосвязанных фаз[5]:

  1. Альтерация — первичное повреждение тканей и клеток.
  2. Экссудация — выход жидких компонентов крови и клеток в повреждённые ткани.
  3. Пролиферация — активное размножение клеток и восстановление тканевой архитектуры.

Каждая стадия характеризуется специфическими молекулярными и клеточными событиями, обеспечивающими эффективную нейтрализацию повреждающих факторов и последующую регенерацию.

Причины воспаления

Физические факторы

Основными физическими триггерами воспалительных реакций являются[6]:

  • термические воздействия (ожоги, обморожения);
  • механические травмы различной интенсивности;
  • воздействие ионизирующего излучения;
  • инородные тела, включая хирургические материалы, осколки и загрязнения.

Химические агенты

Широкий спектр химических веществ способен вызывать воспаление — от агрессивных кислот и щелочей до лекарственных препаратов и алкогольных соединений. Особое внимание уделяется эфирным маслам и промышленным токсикантам, которые могут вызывать как острые, так и хронические воспалительные процессы[6].

Биологические патогены

Инфекционные агенты представляют наиболее обширную группу воспалительных триггеров[6]:

  • вирусы;
  • бактерии;
  • грибы;
  • простейшие и многоклеточные паразиты;
  • их метаболические продукты — эндо- и экзотоксины.

Современная иммунология особо выделяет роль иммунных комплексов, состоящих из антигенов, антител и компонентов системы комплемента.

Файл:Oedema.jpg
Отёк кожи, вызванный воспалением

Внешние признаки воспаления

Клинические проявления воспалительного процесса традиционно описываются через пять кардинальных признаков[7]:

  1. Покраснение (rubor) — результат расширения кровеносных сосудов и усиления местного кровотока.
  2. Отёк (tumor) — следствие повышенной сосудистой проницаемости и выхода плазмы в ткани.
  3. Повышение температуры (calor) — отражение интенсификации метаболических процессов.
  4. Болевые ощущения (dolor) — результат раздражения нервных окончаний медиаторами воспаления.
  5. Нарушение функции (functio laesa) — снижение работоспособности поражённого органа или ткани.

Воспалительный процесс сопровождается значительными изменениями кислотно-щелочного равновесия. Нормальный тканевой pH (7,32-7,45) может снижаться до критических значений 6,5-5,39 при остром гнойном воспалении[8]. Это происходит вследствие накопления недоокисленных продуктов метаболизма — молочной, пировиноградной и α-кетоглутаровой кислот.

Виды воспаления

Продолжительность воспалительной реакции позволяет выделить три основные формы[9]:

  • острое воспаление — развивается в течение нескольких минут или часов, продолжается до 2 месяцев;
  • подострое воспаление — промежуточная форма длительностью до 6 месяцев;
  • хроническое воспаление — персистирующий процесс, который может продолжаться месяцы, годы или всю жизнь с периодами обострений и ремиссий.

В зависимости от реактивности организма выделяют различные варианты воспалительного ответа:

  • нормоэргическое — адекватная реакция, соответствующая силе повреждающего воздействия;
  • гиперэргическое — чрезмерно выраженная воспалительная реакция;
  • гипоэргическое и аноэргическое — ослабленный или отсутствующий воспалительный ответ, характерный для пожилых людей, пациентов с иммунодефицитами или авитаминозами.

По распространённости различают:

  • местное воспаление — ограничивается определённым органом или тканью;
  • системное воспаление — охватывает целые системы организма (например, соединительнотканную при ревматизме или сосудистую при васкулитах).

Формы воспалительных процессов

Характер воспалительного экссудата определяет морфологическую форму процесса:

  • серозное — с преобладанием жидкой части плазмы крови;
  • фибринозное — с высоким содержанием фибрина;
  • гнойное — с массивным скоплением нейтрофилов и клеточного детрита;
  • геморрагическое — с выраженным выходом эритроцитов;
  • катаральное — с обильной продукцией слизи.

Пролиферативное воспаление характеризуется преобладанием клеточного размножения над экссудативными явлениями и включает[10]:

  • гранулематозное воспаление;
  • интерстициальное воспаление;
  • формирование полипов и кондилом.

Особую группу составляют специфические воспаления, развивающиеся при определённых инфекционных заболеваниях: туберкулёзе, сифилисе, лепре, сапе и склероме. Эти процессы характеризуются формированием патогномоничных морфологических структур.

Молекулярные механизмы

  • Распознавание угрозы

Инициация воспалительного ответа происходит через специализированные рецепторы распознавания образов (PRRs), которые идентифицируют молекулярные паттерны, связанные с патогенами (PAMPs) и повреждением (DAMPs)[11]. Эти молекулярные «сенсоры» располагаются на поверхности и в цитоплазме иммунных клеток.

  • Митохондриальный путь

Современные исследования выявили ключевую роль митохондрий в развитии воспалительных реакций. При повреждении клеток митохондриальные белки и ДНК попадают в кровоток, где распознаются Toll-подобными рецепторами. Особое значение имеет NLRP3-инфламмасома — белковый комплекс, включающий NLRP3, ASC и каспазу-1, который обеспечивает созревание провоспалительных цитокинов IL-1β и IL-18[12].

  • Каскады медиаторов

Воспалительная реакция поддерживается сложной сетью биологически активных молекул[13]:

  • вазоактивные амины (гистамин, серотонин) — обеспечивают быстрые сосудистые изменения;
  • эйкозаноиды (простагландины, лейкотриены) — регулируют сосудистую проницаемость и клеточную миграцию;
  • цитокины (интерлейкины, факторы некроза опухоли) — координируют клеточные взаимодействия;
  • система комплемента — обеспечивает опсонизацию и лизис патогенов.

Клеточная динамика

Первичный ответ на повреждение осуществляют постоянно присутствующие в тканях клетки: тканевые макрофаги, дендритные клетки, тучные клетки и клетки Купффера. Эти «часовые» иммунной системы первыми распознают опасность и запускают каскад воспалительных реакций.

Процесс выхода лейкоцитов из кровотока в ткани (экстравазация) включает несколько последовательных этапов[14]:

  1. Маргинация — движение лейкоцитов к стенке сосуда.
  2. Роллинг — медленное перекатывание по эндотелию при участии селектинов.
  3. Адгезия — прочное прикрепление через интегрины (ICAM-1, VCAM-1).
  4. Трансмиграция — проникновение через эндотелиальный барьер.
  5. Хемотаксис — направленное движение к очагу повреждения.

Нейтрофилы и макрофаги осуществляют фагоцитоз патогенов через специализированные рецепторы. Эффективность этого процесса значительно повышается при опсонизации — покрытии мишеней антителами и компонентами комплемента (C3b). Внутриклеточное уничтожение происходит в фаголизосомах при участии активных форм кислорода и протеолитических ферментов.

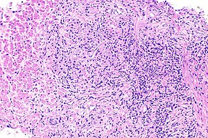
Файл:Prostate carcinoma with inflammation -- intermed mag.jpg
Карцинома предстательной железы с воспалением

Диагностика воспаления

Лабораторная диагностика воспаления основывается на характерных изменениях крови.

Общий анализ крови:

Биохимические маркеры:

  • повышение C-реактивного белка (белка острой фазы);
  • увеличение α- и β-глобулинов при остром воспалении;
  • рост γ-глобулинов при хроническом процессе;
  • снижение концентрации альбуминов.

В типичных случаях количество лейкоцитов увеличивается до 15 000-20 000 клеток на микролитр, однако при тяжёлых инфекциях может достигать 100 000 клеток на микролитр[15]. Противоположная картина (лейкопения) характерна для вирусных инфекций, риккетсиозов и некоторых форм туберкулёза.

Названия болезней

Большинство названий воспалительных заболеваний представляют собой латинские существительные третьего склонения греческого происхождения, состоящие из корня, обозначающего орган, и суффикса «-itis»[16]:

Некоторые воспалительные заболевания сохранили исторически сложившиеся названия, не подчиняющиеся общему правилу: пневмония (воспаление лёгких), ангина (воспаление миндалин), панариций (воспаление околоногтевых тканей).

Особые типы воспаления

  • Аллергические реакции

Аллергические реакции представляют собой чрезмерный иммунный ответ на обычно безвредные вещества. При первом контакте с аллергеном происходит сенсибилизация с выработкой специфических антител (IgE), которые фиксируются на поверхности тучных клеток[17]. Повторное воздействие аллергена приводит к дегрануляции этих клеток с высвобождением гистамина и других медиаторов, что вызывает характерные симптомы: вазодилатацию, повышенную проницаемость сосудов и спазм гладкой мускулатуры.

При аутоиммунных заболеваниях защитные механизмы организма ошибочно атакуют собственные ткани. Примерами служат воспалительные миопатии (дерматомиозит, полимиозит), при которых иммунная система поражает мышечную ткань, часто в сочетании с системными заболеваниями соединительной ткани[18].

Нарушения функции лейкоцитов приводят к повышенной восприимчивости к инфекциям. Классическими примерами служат синдром Чедиака-Хигаси (нарушение переваривания бактерий) и хроническая гранулематозная болезнь (дефект продукции микробицидных веществ)[19].

Воспаление и болезни

  • Атеросклероз

Атеросклероз представляет собой хроническое воспалительное заболевание артериальных стенок, а не просто накопление липидов. Воспалительные процессы участвуют во всех стадиях атерогенеза — от инициации до развития тромботических осложнений. Маркеры воспаления, включая C-реактивный белок, служат предикторами сердечно-сосудистых событий независимо от уровня холестерина[20].

Хроническое воспаление ассоциируется с 30 % увеличением риска развития большого депрессивного расстройства[21]. Провоспалительные цитокины могут переводить мозг в «режим болезни», характеризующийся симптомами, сходными с депрессией: утомляемостью, снижением аппетита и социальной активности.

Хроническое воспаление способствует развитию 15-25 % всех злокачественных новообразований. Ещё в 1863 году Рудольф Вирхов высказал гипотезу о связи рака с хроническими воспалительными процессами[22]. Современные исследования подтверждают роль воспалительных медиаторов в стимуляции клеточной пролиферации, ангиогенеза и метастазирования.

Завершение воспаления

Успешное разрешение воспалительного процесса требует активации специальных механизмов, предотвращающих избыточное повреждение тканей[23]:

  • короткий период полужизни воспалительных медиаторов;
  • продукция противовоспалительных факторов (TGF-β, IL-10);
  • синтез специализированных прорезолвирующих медиаторов (липоксины, резолвины, маресины);
  • программированная гибель воспалительных клеток (апоптоз);
  • фагоцитоз апоптотических клеток макрофагами.

Завершение воспалительной реакции может происходить по нескольким сценариям:

  1. Полное разрешение — восстановление нормальной структуры и функции ткани.
  2. Фиброз — замещение повреждённой ткани соединительнотканным рубцом при обширных повреждениях.
  3. Абсцедирование — формирование ограниченной полости с гноем.
  4. Хронизация — переход в персистирующую форму с периодическими обострениями.

Лечение воспаления

Современная фармакология предлагает различные подходы к контролю воспалительных процессов:

  • нестероидные противовоспалительные препараты — блокируют синтез простагландинов;
  • кортикостероиды — подавляют множественные воспалительные пути;
  • биологические препараты — направленно блокируют конкретные цитокины (анти-TNF, анти-IL-1β);
  • статины — обладают противовоспалительными эффектами помимо липид-снижающего действия.

Дефицит витамина А усиливает воспалительные реакции, в то время как некоторые психоактивные вещества (кокаин, экстази) активируют провоспалительные транскрипционные факторы, такие как NF-κB[24].

Системные эффекты

Ожирение характеризуется хроническим низкоуровневым воспалением с 2-3-кратным повышением концентрации провоспалительных цитокинов (TNF-α, IL-6, IL-18)[25]. Окружность талии коррелирует с выраженностью системного воспалительного ответа. Снижение массы жировой ткани сопровождается уменьшением маркеров воспаления.

Системное воспаление проявляется комплексом острофазовых реакций:

  • лихорадка;
  • повышение артериального давления;
  • изменения белкового спектра крови;
  • нарушения аппетита и сна;
  • активация гипоталамо-гипофизарно-надпочечниковой оси.

При распространении инфекции за пределы первичного очага развивается системный воспалительный ответ, который может прогрессировать до сепсиса и септического шока с полиорганной недостаточностью.

Литература

  • Атаман А. В. Патологическая физиология в вопросах и ответах. — Учебное пособие.. — Киев: Вища школа, 2000. — С. 133–147. — 608 с.
  • Барышников С. Д. Лекции по анатомии и физиологии человека с основами патологии. — М.: ГОУ ВУНМЦ, 2002. — С. 57–64. — 416 с.
  • Воспаление. Руководство для врачей / Под ред. В.В. Серова, В.С. Паукова. — М.: Медицина, 1995. — 640 с.
  • Пальцев М. А., Аничков Н. М. Патологическая анатомия. Учебник для медицинских вузов (В 2 т.). — 2001 (1-е изд.), 2005 (2-е изд.), 2007 (3-е изд.). — М.: Медицина.
  • Пауков В. С., Хитров Н. К. Патология. — Учебник для мед. училищ. — М.: Медицина, 1989. — С. 98–112. — 352 с.
  • Тель Л. З., Лысенков С. П., Шарипова Н. Г., Шастун С. А. Патофизиология и физиология в вопросах и ответах. — М.: Медицинское информационное агентство, 2007. — Т. 2. — С. 66–75. — 512 с.
  • Medzhitov R. The spectrum of inflammatory responses. — Science. — С. 1070–1075.
  • Nathan C. Nonresolving inflammation redux // Immunity. — 2022. — Апрель (№ 55). — С. 592–60.
  • Netea M., Balkwill F., Chonchol M. et al. A guiding map for inflammation // Nat Immunol. — Август (№ 18). — С. 826–831.

Примечания

  1. Серебренникова С. Н., Семинский И. Ж., Гузовская Е. В., Гуцол Л. О. Воспаление — фундаментальный патологический процесс: лекция 1 (альтерация, сосудистые реакции) // Байкальский медицинский журнал. — 2023. — Т. 2, № 2. — С. 53–64.
  2. Tracy R. P. The Five Cardinal Signs of Inflammation: Calor, Dolor, Rubor, Tumor... and Penuria (Apologies to Aulus Cornelius Celsus, De medicina, c. A.D. 25) // The Journals of Gerontology: Series A. — 2006. — Vol. 61. — С. 1051–1052.
  3. Theory of inflammation in light of new data: development of I.I Mechnikov ideas // PubMed. — 2008. — PMID 19004278.
  4. Гусев В. А. Единая система механизмов воспаления, врождённого и адаптивного иммунитета // Успехи современной биологии. — 2019. — Т. 139, № 1. — С. 45–58.
  5. Хакимова Д. М. Воспаление (лекция 5) // Казанский (Приволжский) федеральный университет, кафедра морфологии и общей патологии. — Казань, 2023.
  6. 6,0 6,1 6,2 Антология воспалений: этиология и патогенез // Научно-практический журнал по эстетической медицине. — 2023.
  7. Пальцев М. А., Аничков Н. М. Патологическая анатомия. Учебник для медицинских вузов (В 2 т.). — 2001 (1-е изд.), 2005 (2-е изд.), 2007 (3-е изд.). — М.: Медицина.
  8. Тель Л. З., Лысенков С. П., Шарипова Н. Г., Шастун С. А. Патофизиология и физиология в вопросах и ответах. — М.: Медицинское информационное агентство, 2007. — Т. 2. — С. 66–75. — 512 с.
  9. Hannoodee S., Nasuruddin D. N. Acute Inflammatory Response // National Library of Medicine. — 2024. — 8 июня.
  10. Пролиферация, регуляция воспаления, исход воспаления у животных // Ветеринарная патологическая анатомия. — 2019.
  11. Филатов О., Назаров В. Образраспознающие рецепторы врождённого иммунитета и их роль в иммунотерапии (обзор) // Патогенез. — 2020. — Март (№ 18). — С. 4–16.
  12. Абатуров А. Е., Волосовец А. П., Юлиш Е. И. Роль NOD-подобных рецепторов в рекогниции патоген-ассоциированных молекулярных структур инфекционных патогенных агентов и развитии воспаления. Часть 3а. Протеины NLR семейства, участвующие в активации ASC-ассоциированного пути возбуждения. Инфламмасомы // Здоровье ребенка. — 2013. — Вып. 51, № 8. — С. 141–154.
  13. Козлов В. А. Иммунные механизмы стерильного воспаления // Медицинская иммунология. — 2006. — Т. 8, № 5–6. — С. 589–598.
  14. Aderem A. Metchnikoff and the phagocytosis theory (англ.) // Nature Reviews Molecular Cell Biology. — 2003. — Vol. 4. — С. 713–720.
  15. Нейтрофильный лейкоцитоз // Справочник MSD Профессиональная версия. — 2024.
  16. Понимание медицинских терминов // Справочник MSD Версия для потребителей. — 2024.
  17. Курбачева О. М., Павлова К. С. Аллерген-специфическая иммунотерапия в лечении атопических заболеваний // Российский аллергологический журнал. — 2015. — № 3. — С. 22–29.
  18. Насонов Е. Л., Штутман В. З., Антелава О. А. Воспалительные миопатии. Патогенез, классификация, клиническая картина // Русский медицинский журнал. — 2006. — № 26. — С. 1951–1957.
  19. Синдром Чедиака-Хигаси // Pediatric Hematology/Oncology and Immunopathology. — 2016.
  20. Мельников И. С., Козлов С. Г., Чумаченко П. В. и соавт. Мономерный C-реактивный белок и локальная воспалительная реакция в стенке коронарных артерий у больных стабильной ишемической болезнью сердца // Российский кардиологический журнал. — 2019. — № 5. — С. 56–61.
  21. Osimo E. F., Pillinger T., Rodriguez I. M., Khandaker G. M., Pariante C. M., Howes O. D. «Inflammatory markers in depression: A meta-analysis of mean differences and variability in 5,166 patients and 5,083 controls» // Brain, Behavior, and Immunity. — 2020.
  22. Логинов В. А. Жизненный путь Рудольфа Вирхова как отражение развития медицины XIX века (к 200-летию со дня рождения) // Архив патологии. — 2021. — № 5. — С. 58–64.
  23. Астахова А. А., Чистяков Д. В. Молекулярные механизмы разрешения воспаления в астроглии мозга. НИИ механики МГУ. Дата обращения: 7 сентября 2025.
  24. C.B. Stephensen. Vitamin A as an anti-inflammatory agent // Proceedings of the Nutrition Society. — 2002. — PMID 12230799.
  25. Шварц В. А. Воспаление жировой ткани. Часть 3. Патогенетическая роль в развитии атеросклероза // Проблемы эндокринологии. — 2019. — Т. 65, № 1. — С. 45–52.