Лимфатический узел
Лимфати́ческий у́зел — это высокоспециализированный орган иммунной системы, выполняющий функцию биологического фильтра в системе лимфообращения. Являясь ключевым элементом периферической лимфоидной ткани, он обеспечивает защиту организма путём распознавания и устранения патогенов, а также регуляции иммунного ответа[1].
Морфофункциональные основы организации
Геометрические параметры и архитектурные формы
Размеры лимфатических узлов могут сильно различаться в зависимости от их расположения и того, какую функцию они выполняют. Обычно эти узлы имеют длину от 2 до 25 миллиметров, а в среднем их размер составляет около 15 миллиметров[2]. Клинически значимой лимфаденопатией (симптом развития патологии) обычно считается увеличение лимфатического узла более чем до 20 мм в наибольшем измерении, особенно при отсутствии очевидных причин, таких как локальная инфекция. Размеры могут варьировать в зависимости от локализации: например, брыжеечные узлы считаются патологически увеличенными при диаметре свыше 5 мм[3].
Архитектурная организация лимфоузлов характеризуется многообразием конфигураций: от классической округлой и овальной до бобовидной и лентовидной форм. Цветовые характеристики свежих препаратов представлены розовато-серыми оттенками, что обусловлено особенностями кровоснабжения и клеточного состава. Почковидная конфигурация является наиболее распространённой среди периферических групп лимфоузлов[3].
Капсулярно-трабекулярный каркас
Структурную основу каждого лимфатического узла составляет плотная соединительнотканная капсула, образованная коллагеновыми волокнами[4]. От внутренней поверхности капсулы радиально отходят трабекулярные (губчатые) элементы, формирующие опорный каркас органа[5].
Трабекулярная система — это сложная сеть перегородок из соединительной ткани, которая делит внутреннее пространство узла на разные части. Ретикулярная строма создаёт трёхмерную сеть, которая помогает клеткам иммунной системы располагаться и взаимодействовать друг с другом. Ретикулярные волокна не только поддерживают структуру, но и создают условия для взаимодействия клеток[5].
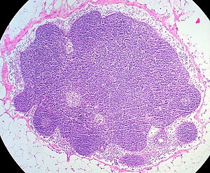
Гистологическая архитектура и клеточные популяции
Зональная дифференцировка паренхимы
Внутренняя архитектура лимфатического узла характеризуется чёткой зональной организацией, отражающей функциональную специализацию различных отделов[6]. Периферические отделы представлены корковым веществом, которое подразделяется на поверхностную кортикальную зону и глубокую паракортикальную область[7].
В верхней части коры находятся группы малых клеток, называемые лимфоидными фолликулами. В этих группах находятся и размножаются B-лимфоцитами. Когда фолликулы активизируются, в их центре образуются зоны, где клетки быстро делятся и становятся более зрелыми. Эти зоны называются герминативными центрами. Вокруг этих центров находится область с большим количеством малых лимфоцитов[7].
Иммунокомпетентные клеточные элементы
Клеточный состав лимфатических узлов представлен сложной популяцией иммунокомпетентных элементов, каждый из которых выполняет специфические функции в рамках иммунного ответа. Макрофаги уничтожают инфекционные агенты, а также показывают иммунной системе инфекционные объекты. Макрофаги могут перемещаться по телу и менять свою работу в зависимости от ситуации, что помогает им лучше справляться с разными проблемами. Когда макрофаги уничтожают микробы, они также запускают другие защитные реакции в организме. Они показывают иммунной системе «паспорта» микробов, чтобы она могла научиться их распознавать и уничтожать.. В онкологических процессах особую роль играют макрофаги, экспрессирующие PD-L1, которые могут подавлять противоопухолевый иммунный ответ, способствуя уклонению опухоли от иммунного контроля[8].
B-лимфоциты в бурсазависимых зонах проходят стадии антигензависимой пролиферации и дифференцировки, превращаясь в эффекторные плазматические клетки. T-лимфоциты в тимусзависимых областях осуществляют клеточные иммунные реакции и регуляторные функции. Фолликулярные дендритные клетки обеспечивают презентацию антигенов B-лимфоцитам, в то время как фибробластические ретикулярные клетки формируют структурный каркас для миграции иммунокомпетентных клеток[8].
Физиологические механизмы и лимфоциркуляция
Синусоидальная система и лимфотток
Лимфоциркуляция — это движение лимфы, особой жидкости, которая помогает организму бороться с инфекциями. В лимфатических узлах есть специальные каналы, которые позволяют лимфе двигаться по ним. Эти каналы называются синусоидальными пространствами. Лимфа поступает в узел через маленькие сосуды, называемые афферентными лимфатическими сосудами. Она приходит с выпуклой стороны узла и затем идёт в субкапсулярный синус, который находится под капсулой узла[9].
Лимфа, находящаяся под капсулой лимфатического узла, перемещается в кортикальные синусы. Эти синусы расположены между трабекулами (прочными волокнистыми перегородками) и лимфоидными скоплениями (группами лимфоцитов, которые помогают бороться с инфекциями). Затем лимфа проходит через медуллярные синусы, где она обогащается антителами, которые производятся плазматическими клетками (клетками вырабатывающие антитела). Лимфа выводится из лимфатического узла через эфферентные лимфатические сосуды, которые выходят через ворота узла, находящиеся на его вогнутой стороне[9].
Макрофаги, выстилающие стенки синусов, создают сетчатый барьер, замедляющий ток лимфы и способствующий захвату антигенов и патогенов. Медленное просачивание лимфы через синусоидальную систему обеспечивает оптимальные условия для взаимодействия антигенов с иммунокомпетентными клетками[9].
Иммунологические реакции и фильтрационные процессы
Лимфатические узлы помогают организму защищаться от инфекций и онкологических клеток. Внутри этих узлов лимфоциты (клетки иммунной системы) созревают и учатся бороться с вредителями. Это позволяет организму лучше справляться с болезнями[10].
Венулы с высокими эндотелиальными клетками — это ворота, через которые лимфоциты (клетки иммунной системы) возвращаются в кровоток. У этих лимфоцитов есть особые «маячки» (рецепторы CCR7), которые помогают им двигаться по организму. Эти «маячки» реагируют на химические сигналы, которые указывают лимфоцитам направление движения[10].
Топографическая анатомия и регионарное распределение
Центральные лимфатические коллекторы
В центральной нервной системе отсутствуют классические лимфатические узлы, однако установлено наличие менингеальных лимфатических сосудов, осуществляющих дренаж в глубокие шейные лимфатические узлы. Эта система частично компенсирует отсутствие прямой лимфоидной сети в паренхиме мозга.[11][12].
Лимфатические узлы в грудной клетке называются медиастинальными узлами. Они собирают и фильтруют жидкость, которая образуется в органах грудной полости. Узлы, расположенные рядом с бронхами и лёгкими, называются бронхопульмональными. Они отвечают за то, чтобы жидкость от лёгких и бронхов попадала в соответствующую систему. Узлы, находящиеся рядом с аортой (главной артерией), называются парааортальными. Они контролируют поток жидкости от органов в нижней части живота. Узлы, расположенные в брыжейке (складке, которая держит кишечник), называются брыжеечными. Они собирают жидкость от кишечника[11][12].
Периферические лимфатические группы
Количественная характеристика лимфатических узлов взрослого человека определяется цифрой в 450 анатомических единиц, распределённых по различным топографическим регионам. Иннервация лимфоузлов осуществляется симпатическими нервными волокнами, регулирующими сосудистый тонус и влияющими на миграционную активность лимфоцитов[7][13].
Периферические группы организованы в виде гроздевидных скоплений, включающих до десяти отдельных узлов в каждом региональном коллекторе. Локтевые группы обеспечивают дренаж верхней конечности; селезёночные — контролируют лимфоотток от селезёнки и прилежащих органов. Подвздошные коллекторы подразделяются на общие, внутренние и наружные группы, обслуживающие органы малого таза[7][13].
Патофизиологические изменения и болезненные состояния
Инфекционно-воспалительные процессы
Патологические изменения лимфатических узлов при инфекционных заболеваниях характеризуются развитием острого лимфаденита — воспалительного процесса, сопровождающегося увеличением размеров и появлением болезненности при пальпации. Гнойные процессы могут приводить к покраснению кожных покровов над поражённым узлом с последующим формированием флегмоны как грозного осложнения нелеченого лимфаденита[14].
Туберкулёзное поражение лимфатических узлов у детей представляет одно из характерных проявлений инфекционного процесса, исторически именуемое золотухой при локализации в шейной области. Иммунодефицитные состояния, особенно ВИЧ-инфекция, способствуют генерализации туберкулёзного процесса с поражением множественных групп лимфоузлов[14].
Аутоиммунные и системные поражения
Аутоиммунные заболевания соединительной ткани сопровождаются специфическими морфологическими изменениями лимфатических узлов, отражающими системный характер патологического процесса. Ревматоидный артрит, системная красная волчанка и дерматомиозит характеризуются реактивной гиперплазией лимфоидной ткани с нарушением нормальной архитектуры узлов[15].
Накопительные болезни, представленные синдромами Гоше и Ниманна — Пика, приводят к депозиции липидных метаболитов в макрофагах лимфатических узлов с характерными морфологическими изменениями. Сывороточная болезнь и медикаментозные реакции на дифенилгидантоин, гидралазин и аллопуринол могут индуцировать транзиторную лимфаденопатию[15].
Ангиоиммунобластная лимфаденопатия представляет собой особую форму системного поражения лимфоидной ткани с характерными гистологическими признаками и клиническими проявлениями, требующими дифференциальной диагностики с лимфопролиферативными заболеваниями[15].
Клинические проявления и диагностические подходы
Клиническая семиотика поражений лимфатических узлов (лимфатических желёз), характеризуется широким спектром проявлений от незначительного увеличения до выраженной лимфаденопатии с системными симптомами. Амилоидоз и саркоидоз могут сопровождаться характерными изменениями лимфоидной ткани с нарушением нормальной архитектуры узлов[16].
Злокачественные заболевания крови, такие как разные виды лимфом и лейкемий, могут повредить клетки крови. С другой стороны, если сильно поражены лимфоузлы в области грудной клетки, это может привести к сдавливанию важных сосудов и органов, что называется синдромом сдавления верхней полой вены[16].
Сравнительная анатомия и эволюционные аспекты
Эволюционная адаптация лимфатической системы у различных видов млекопитающих привела к формированию уникальных архитектурных решений. Некоторые виды, включая свиней, носорогов, бегемотов и отдельных представителей китообразных, характеризуются наличием инвертированных лимфатических узлов с обращённой организацией лимфотока[17].
В инвертированных лимфоузлах афферентная лимфа поступает в центральную часть узла, где располагаются B-клеточные фолликулы, и движется к периферии. Зрелые лимфоциты покидают узел непосредственно через периферические венулы, минуя традиционные эфферентные лимфатические пути[17].
Литература
- Борде Э., Фрето М. и др. Взаимодействия макрофагов и B-клеток в инвертированном лимфатическом узле свиней и их ответ на вирус репродуктивно-респираторного синдрома свиней // Границы иммунологии. — 2019.
- Кальджиан Э. П. и др. Пространственная и молекулярная организация Т-клеточной коры лимфатических узлов // Международная иммунология. — 2001.
- Лоу Дж. И. Оценка лимфаденопатии // Лучшая практика BMJ. — 2025.
- Принципы и практика медицины Дэвидсона. — Эльзевир, 2018.
- Основная гематология Хоффбранда. — Уайли Блэквелл, 2016.
- Роозендаль Р. и др. Кондуитная система лимфатического узла // Международная иммунология. — 2008.
- Тораби М. и др. Современные концепции визуализации лимфатических узлов // Журнал ядерной медицины. — 2004.
- Шарма А. и др. Особенности лимфаденопатии при торакальных злокачественных новообразованиях // РадиоГрафика. — 2004.
- Шмидт А. Ф. мл. и др. Распределение, размер и количество медиастинальных лимфатических узлов // Бразильский журнал пневмонии. — 2007.
Примечания
- ↑ Swollen glands (англ.). NHS inform (20 октября 2025).
- ↑ Ioachim, H. L. Lymph node pathology (англ.). Free Download, Borrow, and Streaming. Дата обращения: 21 ноября 2025.
- ↑ 3,0 3,1 Ganeshalingam, S., Koh, D. Nodal staging (англ.). PMC (24 декабря 2009). Дата обращения: 21 ноября 2025.
- ↑ Rijnberk A., van Sluijs F. J. Medical History and Physical Examination in Companion Animals. — Elsevier, 2008. — С. 47–62. — ISBN 978-0702029684.
- ↑ 5,0 5,1 Young B., O'Dowd G., Woodford P. Wheater's functional histology: a text and colour atlas. — Elsevier, 2013. — С. 209–210.
- ↑ Willard-Mack C. L. Normal Structure, Function, and Histology of Lymph Nodes // Toxicologic Pathology. 2006. № 5. С. 409—424. DOI: 10.1080/01926230600867727
- ↑ 7,0 7,1 7,2 7,3 Standring S. Gray's anatomy: the anatomical basis of clinical practice. — Elsevier Limited, 2016. — С. 73–74. — ISBN 978-0-7020-5230-9.
- ↑ 8,0 8,1 Sprooten J. «et al.». Lymph node and tumor-associated PD-L1+ macrophages antagonize dendritic cell vaccines by suppressing CD8+ T cells (англ.). PMC (16 июня 2024). Дата обращения: 21 ноября 2025.
- ↑ 9,0 9,1 9,2 Young B., O'Dowd G., Woodford P. Wheater's functional histology: a text and colour atlas. — Elsevier, 2013. — С. 209–210. — ISBN 978-0702047473.
- ↑ 10,0 10,1 Lymphatic Anatomy and Clinical Implications (англ.). Springer Nature. Дата обращения: 21 ноября 2025.
- ↑ 11,0 11,1 Tomoya K., «et al.». A novel reticular stromal structure in lymph node cortex: an immuno-platform for interactions among dendritic cells, T cells and B cells (англ.). International Immunology (5 июля 2004). Дата обращения: 21 ноября 2025.
- ↑ 12,0 12,1 Dupont G., Schmidt C. et al. Our current understanding of the lymphatics of the brain and spinal cord // Clinical Anatomy. 2019. № 1. С. 117—121. DOI: 10.1002/ca.23308
- ↑ 13,0 13,1 Mackaaij С., «et al.». Sympathetic nerve distribution in human lymph nodes. National Library of Medicine (6 марта 2021). Дата обращения: 21 ноября 2025.
- ↑ 14,0 14,1 Рахманова А. Г., Пригожкина В. К., Неверов В. А. Инфекционные болезни: Руководство для врачей общей практики. — СПб., 1995. — С. 156–189.
- ↑ 15,0 15,1 15,2 Шайхова Х. Э., Хакимов А. М., Хорошаев В. А. Морфология регионарных лимфатических узлов при лимфотропной терапии острого среднего отита.. — С. 34–47.
- ↑ 16,0 16,1 Swollen glands. NHS inform.
- ↑ 17,0 17,1 Dubreil L., «et al.». The Internal Conduit System of the Swine Inverted Lymph Node (англ.). PMC (6 июня 2022). Дата обращения: 21 ноября 2025.
Ссылки
- Лимфатический узел: микрофотография.
- Шайхова Х. Э., Хакимов А. М., Хорошаев В. А. Морфология регионарных лимфатических узлов при лимфотропной терапии острого среднего отита.
- Лимфоузлы // Ленинградский областной онкологический диспансер.