Лейкоз
| Лейкоз | |
|---|---|
| | |
| МКБ-10 | C91-C95 |
| МКБ-9 | 208.9 |
| МКБ-О | 9800-9940 |
| DiseasesDB | 7431 |
| MeSH | D007938 |
Лейко́з (греч. λευκός — белый) (ликомия (греч. λευκός — белый и греч. αἷμα — кровь), алейкеми́я[1], гемобластозы) — клональное злокачественное (неопластическое) заболевание кроветворной системы. К лейкозам относится обширная группа заболеваний, различных по своей этиологии. При лейкозах злокачественный клон может происходить как из незрелых гемопоэтических клеток костного мозга, так и из созревающих и зрелых клеток крови. Выражается системной диффузной гиперплазией всего клеточного аппарата, продуцирующего лейкоциты, независимо от того, сопровождаются ли они белокровием или протекают без него[2].
Основные понятия
Лейкоз это группа злокачественных опухолевых заболеваний кровеносной системы, которые характеризуются поражением костного мозга опухолевыми клетками с вытеснением ими нормальных элементов кроветворения и проникновением в различные органы и ткани. Опухолью принято называть плохо контролируемую организмом клональную ткань, которая возникла из одной мутировавшей клетки, не является следствием воспаления или накопления неметаболизированных продуктов и в которой подавлен механизм апоптоза. Лейкоз возникает вследствие мутации клоногенной клетки, в результате чего нарушается контроль за клеточным циклом, возникают изменения процесса транскрипции и продукции ряда ключевых белков[3][4][5].
Вследствие бесконтрольной пролиферации (разрастание ткани организма путём размножения клеток делением) и нарушения дифференцировки происходит накопление патологических клеток. Основными факторами повреждающими ДНК (мутагенами), являются проникающая радиация и некоторые химические вещества, в том числе бензол, диоксины, пестициды, гербициды, дефолианты. Лейкозогенными свойствами обладают некоторые медикаменты, в том числе мустарген, этопозид, делагил. На возникновения Лейкоза большую роль играет генетическое предрасположение, в том числе полицитемия, лимфома. Предрасполагают к развитию острых Лейкозов некоторые врождённые заболевания, в том числе синдром Дауна, некоторые виды анемии, приводят к повышенной хромосомной нестабильности. Так же в развитии лейкоза в отношении некоторых видов животных важна роль вирусов. У человека подтверждена вирусная этиология в Т-клеточном (остром) лейкозе, встречающегося у жителей Дальнего Востока и некоторых государств Карибского бассейна, возбудителем которого является Т-лимфотропный вирус человека. Роль пускового механизма в развитии лейкоза может играть ультрафиолетовое излучение[3][4][5].
Патогенез
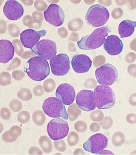
Ранние клинические признаки лейкоза включают слабость, утомляемость, потливость, повышение температуры тела. Характерны также рецидивирующие инфекции заболеваний уха, горла и носа, герпес, пиелиты, кровоточивость дёсен. В стадии выраженного лейкоза нарастают слабость, лихорадка; возникает геморрагический синдром. В крови в большинстве случаев лейкоза выявляются опухолевые клетки. В костном мозге их содержание иногда достигает 95-99 %. При цитогенетическом исследовании в опухолевых клетках обнаруживаются хромосомные аберрации[3][4][5].
Диагностика лейкоза опирается на исследования периферической крови и пунктата костного мозга, гистологический анализ кусочков костного мозга и прилегающей костной ткани. Лейкоз делят на острые и хронические, в зависимости от степени зрелости опухолевых клеток, что определяет клиническую картину, тактику лечения и прогноз заболевания. Субстратом острого лейкоза является морфологически незрелая опухолевая клетка (бласт). На этой основе выделяют острые лимфобластные и острые миелоидные лейкозы. Хронический лейкоз (лимфоидные и миелоидные) является разнородной группой опухолевых заболеваний кроветворной системы, которые сопровождаются вначале определённым созреванием опухолевых клеток и более или менее длительным сохранением нормального гемопоэза. Их классифицируют в соответствии с морфологией и иммунофенотипом зрелых опухолевых клеток, в том числе хронический лимфолейкоз, сублейкемический миелоз, множественная миелома[3][4][5]. Патогенез лейкоза заключается в бесконтрольной пролиферации опухолевых клеток, замещении нормальной гемопоэтической ткани опухолевыми клетками, что приводит к угнетению нормального кроветворения[3][4][5].
Классификация
Лейкозы классифицируют по разным принципам, которые учитывают тип течения, степень дифференцировки опухолевых клеток, цитогенез и иммунологические особенности. Выделяют острые и хронические лейкозы. Острый лейкоз никогда не переходит в хронический, а хронический не может обостриться. Для хронических лейкозов характерны периоды обострения, в том числе бластные кризы, когда картина крови становится похожей на острый лейкоз[4].
- Острый лейкоз — клональное (онкологическое) заболевание, первично возникающее в костном мозге в результате мутации стволовой клетки крови. Следствием мутации является потеря потомками мутировавшей клетки способности к дифференцировке до зрелых клеток крови. Морфологический субстрат острыx лейкозов — бластные клетки. Как и для большинства других опухолевых заболеваний, для острых лейкозов невозможно выделить специфический этиологический фактор.
Острый лейкоз никогда не переходит в хронический, а хронический никогда не обостряется. Таким образом, термины «острый» и «хронический» используются только из-за удобства; значение этих терминов в гематологии отличается от значения в других медицинских дисциплинах. Исключением является лишь хронический миелобластный лейкоз, острая или терминальная фаза которого характеризуется развитием бластного криза — появлением в крови и костном мозге 30-90 % бластных клеток, то есть развитием острого миелобластного (или лимфобластного) лейкоза. Острые лейкозы делятся на два вида Острые миелобластные лейкозы и Острые лимфобластные лейкозы[4][6].
В соответствии с цитогенезом Острые лейкозы подразделяются на: Острые лимфобластные лейкозы, Острые миелобластные лейкозы, Острые монобластные лейкозы, Острые миеломонобластные лейкозы, Острые эритромиелобластные лейкозы, Острые мегакариобластные лейкозы, Острые недифференцированные лейкозы[4].
- Хронические лейкозы, отличаются от острых лейкозов дифференцировкой опухолевых клеток и более длительным стадийным течением. Делятся на две стадии: Первая стадия (моноклоновая, доброкачественная) заболевания характеризуется присутствием одного клона опухолевых клеток, течёт годами, относительно доброкачественно, хронически. Вторая стадия (поликлоновая, злокачественная) обусловлена появлением вторичных опухолевых клонов, характеризуется быстрым, злокачественным течением с появлением множества бластов (бластный криз) и называется злокачественной, поликлоновой стадией, или стадией бластного криза. 80 % больных хроническими лейкозами погибают в стадии бластного криза. Хронические лейкозы включают в себя хронические миелоцитарные лейкозы, хронические лимфоцитарные лейкозы и хронические моноцитарные лейкозы[4].
В соответствии с цитогенезом Хронические лейкозы представлены лейкозами миелоцитарного происхождения, которые в свою очередь делятся на хронический миелобластный лейкоз, хронический нейтрофильный лейкоз, хронический эозинофильный лейкоз, хронический базофильный лейкоз, миелосклероз, эритремия/истинная полицитемия, эссенциальная тромбоцитемия; лимфоцитарного происхождения , которые в свою очередь делятся на хронический лимфолейкоз и парапротеинемические лейкозы: миеломная болезнь, первичная макроглобулинемия Вальденстрёма, болезнь тяжёлых цепей Франклина и лимфоматоз кожи — болезнь Сезари; моноцитарного происхождения, которые в свою очередь делятся на хронический моноцитарный лейкоз, хронический миеломоноцитарный лейкоз и гистиоцитоз X[4].
По степени дифференцировки опухолевых клеток лейкозы делят на:
- Недифференцированные — клетки напоминают стволовые и бластные клетки.
- Бластные — при высоком блоке дифференцировки лейкозные клетки напоминают бластные.
- Цитарные — при низком блоке дифференцировки клетки напоминают процитарные и цитарные клетки-предшественницы[4].
На основе иммунного фенотипа опухолевых клеток лейкозы типируют по экспрессии CD19, CD20, CD5, лёгких цепей иммуноглобулинов и других антигенных маркеров. Например, при остром лимфобластном лейкозе выделяют В-клеточный и Т-клеточный подтипы в зависимости от того, какие клетки поражены (в норме должны были стать В- или Т-лимфоцитами)[4].
Морфология
При высоком блоке дифференцировки лейкозные клетки могут напоминать стволовые и бластные клетки первых четырёх классов клеток-предшественниц. Поэтому по степени дифференцировки эти лейкозы называют бластными и недифференцированными. Поскольку они протекают остро, то острые лейкозы это бластные и недифференцированные лейкозы. При низком блоке дифференцировки лейкозные клетки напоминают процитарные и цитарные клетки-предшественницы, лейкозы протекают менее злокачественно, хронически и называются цитарными. Основные клинические признаки острых лейкозов: большое количество бластных клеток и их преимущество; «лейкемический провал» — исчезновение промежуточных форм клеток на фоне большого количества бластов; одновременное наличие абазофилии и анэозинофилии; быстропрогрессирующая анемия. Основные клинические признаки хронических лейкозов: небольшое количество бластных клеток или их отсутствие; отсутствие «лейкемического провала», то есть наличие промежуточных форм клеток (промиелоциты и миелоциты); базофильно-эозинофильная ассоциация, то есть одновременное наличие базофилии и эозинофилии; медленнопрогрессирующая анемия с увеличением скорости своего развития в период своего обострения[4].
Профилактика и лечение
В диагностике лейкозов большое значение имеет морфологическое исследование. Основными методами прижизненной морфологической диагностики являются исследования мазков периферической крови и биоптатов костного мозга, которые получают при трепанобиопсии гребня подвздошной кости или пункции грудины, а также других органов. Одна из мер профилактики лейкоза у лиц старше сорока пяти лет это отказ от загорания. В происхождении лейкоза имеет значение также активность противоопухолевых систем: генов, белков, ферментов, осуществляющих репарацию генетической матрицы повреждённых клеток (ДНК-редуктаза)[3][4][5].
Лечение лейкоза осуществляется с помощью моно- или полихимиотерапии, моноклональных антителах. Острый лейкоз требует немедленного лечения, которое включает в себя приём высоких доз химиотерапевтических средств, что даёт возможность организму очиститься от лейкозных клеток. После этого, при необходимости, назначается трансплантация здоровых донорских клеток костного мозга (пересадка костного мозга). Некоторые виды лейкоза в настоящее время излечимы[3][4][5].
Примечания
- ↑ Большая советская энциклопедия : [в 30 т.] / гл. ред. А. М. Прохоров. — 3-е изд. — М. : Советская энциклопедия, 1969—1978.
- ↑ Г.В.Домрачев и др. Патология и терапия внутренних незаразных болезней сельскохозяйственных животных. — М., 1960. — 504 с.
- ↑ 3,0 3,1 3,2 3,3 3,4 3,5 3,6 Лейкоз // Большая российская энциклопедия : [в 35 т.] / гл. ред. Ю. С. Осипов. — М. : Большая российская энциклопедия, 2004—2017.
- ↑ 4,00 4,01 4,02 4,03 4,04 4,05 4,06 4,07 4,08 4,09 4,10 4,11 4,12 4,13 4,14 Патологическая анатомия. Курс лекций / Под ред. В. В. Серова, М. А. Пальцева. — М.: Медицина, 1998. — 640 с. — 15 000 экз. — ISBN 5-225-02779-2.
- ↑ 5,0 5,1 5,2 5,3 5,4 5,5 5,6 Большая медицинская энциклопедия / гл. ред. Б. В. Петровский. — 3-е изд. — М.: Советская энциклопедия, 1980. — Т. 12: Криохирургия — Ленегр.. — 536 с.
- ↑ Шулутко Б. И., Макаренко С. В. Стандарты диагностики и лечения внутренних болезней. 3-е изд. СПб.: «Элби-СПБ», 2005
Литература
- Лейкоз // Большая российская энциклопедия : [в 35 т.] / гл. ред. Ю. С. Осипов. — М. : Большая российская энциклопедия, 2004—2017.
- Патологическая анатомия. Курс лекций / Под ред. В. В. Серова, М. А. Пальцева. — М.: Медицина, 1998. — 640 с. — 15 000 экз. — ISBN 5-225-02779-2.
- Большая медицинская энциклопедия / гл. ред. Б. В. Петровский. — 3-е изд. — М.: Советская энциклопедия, 1980. — Т. 12: Криохирургия — Ленегр.. — 536 с.
- Герценштейн Г. М. Белокровие // Энциклопедический словарь Брокгауза и Ефрона : в 86 т. (82 т. и 4 доп.). — СПб., 1890—1907.