Фиброаденома
Важно! Информация в этой статье предоставлена в ознакомительных целях и не заменяет консультацию врача. Не занимайтесь самолечением и не используйте её для самостоятельной постановки диагноза. При симптомах заболевания обратитесь к квалифицированному специалисту. |
Фи́броадено́ма — это доброкачественная опухоль железистой ткани молочной железы, чаще возникающая у женщин в возрасте от 20 до 35-40 лет. При обследовании она представляет собой эластичное, плотное, обычно одиночное образование, иногда могут быть и множественные. Опухоль подвижна и не связана с окружающими тканями. В 15 % случаев может затронуть обе молочные железы. Часто пациентки сами обнаруживают фиброаденому при самостоятельном ощупывании молочной железы, иногда возникает боль, связанные с ростом опухоли[1].
Симптомы
- При пальпации обнаруживается образование диаметра 2-3 сантиметра. В большинстве случаев узел находится в верхней и боковой части молочных желез.
- В период беременности или лактации образования могут быстро увеличиваться. После климакса фиброаденома регрессирует и претерпевает гиалиновое перерождение с последующим кальцинозом.
- Не характерны изменения кожи, покраснение или деформация.
- Размер молочной железы остаётся прежним, если объём опухоли небольшой. В положении лёжа на спине опухоль не исчезает.
- Появляется заметная асимметрия при визуальном осмотре[2].
- Выделения из сосков появляются редко. При надавливании на сосок может возникнуть серозная, мутно-белая или коричневая жидкость.
- Лимфоузлы не изменяются, поэтому при пальпации подключичных, надключичных и подмышечных групп узлов не наблюдается увеличение в размерах и уплотнение тканей[3].
Диагностика
1.Клинический метод. Этот метод стоит на первом месте в числе диагностических мероприятий из-за своей простоты и доступности осмотра. Но есть определённые правила, которые следует соблюдать. Оптимальным сроком для его применения у менструирующих женщин следует считать 5-10-й день менструального цикла. Неменструирующие женщины могут быть обследованы в любое время. Осмотр лучше всего проводить в положении стоя, сначала с опущенными, а затем с поднятыми за голову руками. Пальпация играет весьма важную роль, позволяя определить локализацию, размеры, границы опухоли, её поверхность и консистенцию, а также взаимоотношение с окружающими тканями. Пальпацию проводят в положении стоя, а затем лежа на спине и на боку[4].
2. Маммография — это метод рентгеновского исследования, используемый для обнаружения и характеристики опухолей в молочных железах. Не рекомендуется применять его как обычный метод скрининга у молодых женщин. У женщин зрелого и пожилого возраста фиброаденома на радиографии выглядит как отдельное образование с однородной плотностью, превышающей плотность окружающих тканей. Её форма чаще всего овальная или округлая, с четкими дольчатыми структурами, иногда напоминающая кисту. В период менопаузы происходит обызвествление опухоли от периферии к центру. В редких случаях визуально форма узла атипичная, контур нечёткий[2].
3. УЗИ молочных желез. В диагностике заболеваний молочной железы в последние годы получил широкое распространение ультразвуковой метод. Преимущества этого метода — простота получения изображения, практически полная безвредность, а также возможность многократного повторения исследования, что очень важно для динамического наблюдения и проведения профилактических осмотров. Кроме того, использование современных аппаратов позволяет проводить интервенционную сонографию под контролем изображения и с её помощью получать материал для морфологического исследования. Ультразвуковое исследование (УЗИ) наиболее эффективно может быть использовано для диагностики заболеваний молочной железы в молодом возрасте, поэтому данный метод показан всем женщинам до 35 лет, а также беременным и в период лактации. Кроме того, ультразвуковое сканирование — метод выбора в дифференциальной диагностике между кистозными и солидными образованиями, а также в случае невозможности четкого выявления пальпируемого образования на маммограмме из-за слишком плотной или неоднородной ткани молочной железы. В качестве дополнительных опций в данном случае могут применяться допплерография и эластография. УЗИ позволяет уточнить неясную рентгенологическую и пальпаторную картину при диффузной мастопатии. Ультразвуковую и рентгенологическую маммографию целесообразно считать не альтернативными, а взаимодополняющими методиками, которые должны широко использоваться в диагностическом алгоритме заболеваний молочных желез. Для дифференциальной диагностики узлового образования различной природы каждый метод, входящий в комплекс, имеет свои преимущества и ограничения. Сравнительный анализ их информативности позволил определить приоритеты в использовании каждого из них. Так, рентгенография предпочтительнее для распознавания локального фиброза, рака, сгруппированных микрокальцинатов, УЗИ — для распознавания кист, фиброаденом, липом. Совместное применение маммографии и УЗИ увеличивает точность диагностики различных заболеваний молочных желез до 97 %[5].
4. Биопсия: взятие малого образца ткани для дальнейшего исследования под микроскопом, чтобы установить точный диагноз. Бывают:
- Пункционная биопсия — исследование проводится под контролем УЗИ, тонкой иглой из узла берётся клеточный материал для последующего цитологического анализа;
- Трепан-биопсия — при помощи специальной иглы на гистологический анализ берут столбик тканей, метод позволяет сохранить послойное расположение клеток и имеет большее диагностическое значение.
5. МРТ молочных желез представляет собой более точный метод обследования, который позволяет увидеть более подробные детали ткани. Однако данный метод не всегда способен четко разграничить злокачественные и доброкачественные процессы. На МРТ-снимке опухоль выглядит, как овальное новообразование с ровными или дольчатыми краями[2].
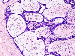
Гистология
Гистологическое исследование представляет собой использование микроскопа для анализа образцов ткани молочной железы с целью выявления новообразований. Этот метод обладает высокой точностью, что позволяет не только обнаружить наличие злокачественных клеток, но и определить причину их возникновения. Считается, что это единственный метод, который обеспечивает возможность проведения сравнительной диагностики и различения доброкачественных и злокачественных новообразований[6].
Лечение
В случае обнаружения фиброаденомы молочной железы у подростков необходимо проводить наблюдение. Если опухоль не увеличивается, существует вероятность того, что она может раствориться после установления овуляторных менструальных циклов. Некоторые исследования позволяют пациенткам до 25 лет придерживаться наблюдательной тактики, при условии подтверждения диагноза морфологически. В этом случае рекомендуется обращаться к врачу на осмотр каждые полгода. Однако при обнаружении фиброаденомы после 40 лет следует немедленно начать лечение и выжидательная тактика не применяется[7].
Разработаны различные методики удаления фиброаденомы, которые менее травматичны, чем операция на груди, и дают хороший результат. Вот следующие способы:
- Криоабляция. В ходе операции под кожу вводится зонд, который охлаждают до температуры −180 градусов (для этого используют жидкий азот или аргон). Под действием такой температуры опухоль разрушается. Криоабляция подходит, если размер новообразования не превышает 3-3,5 см[8].
- Лазерная деструкция заключается в тепловом воздействии на ткани опухоли, которое происходит при введении в неё зонда. Механизм действия аналогичен криоабляции, но у лечения лазером есть неизученные риски. Кроме тепловой энергии в состав излучения входит несколько типов волн. Они влияют на прилежащие ткани, изменяют их скорость регенерации. Поэтому нельзя говорить о полной безопасности лазерной абляции. Наблюдения, которые проводились в 1999 году с 27-ю пациентками с фиброаденомой после лечения лазером, не смогли подтвердить безопасность методики для терапии молочных желёз[8].
- ФУЗ-абляция — это тепловое разрушение фиброаденомы при помощи фокусированного ультразвука. Метод применяется амбулаторно и не требует анестезии или разрезов на коже. Ультразвук через кожу разогревает ткани узла, вызывает его некроз и разрушение. Он подвергается разрушению в течение нескольких недель;
- Хирургическое лечение. В этом случае выполняют секторальную резекцию (удаление участка молочной железы, на котором локализуется опухоль, в виде сектора круга) или энуклеацию (вылущивание опухоли из ткани вместе с капсулой). Показаниями являются:
- центральное расположение опухоли (за ареолой);
- новообразование больше 3-3,5 см в диаметре;
- листовидный тип фиброаденомы;
- сомнительное гистологическое заключение;
- подтверждение злокачественного характера[9].
После удаления опухоли её отправляют на обязательное гистологическое исследование. При признаках злокачественного процесса, которые были выявлены во время операции, необходимо экстренное гистологическое исследование.
Примечания
- ↑ Фиброаденома молочной железы. ФНКЦентр. Дата обращения: 31 мая 2024.
- ↑ 2,0 2,1 2,2 Фиброаденома молочной железы. ПроБолезни. Дата обращения: 31 мая 2024.
- ↑ Корнацкая А. Г., Дубенко О. Доброкачественные заболевания молочных желез в практике акушера-гинеколога // Здоровье женщины. — 2012.
- ↑ Родионов В. В., Сметник А. А. Доброкачественные заболевания молочных желез // Акушерство и гинекология: Новости. Мнения. Обучения.. — 2018. — № 1(19). — С. 90—100.
- ↑ Харченко В.П., Рожкова Н.И. Лучевая диагностика заболеваний молочной железы, лечение и реабилитация. — 2000. — С. 166.
- ↑ Гистология молочной железы. Медицинский женский центр. Дата обращения: 31 мая 2024.
- ↑ Зайцев В. Ф., Банькова Е. М., Моисеенко В. В. Мастопатия и гинекомастия. — Минск, 2016. — С. 280.
- ↑ 8,0 8,1 Фиброаденома молочной железы: симптомы, лечение, операция по удалению. 103.BY. Дата обращения: 31 мая 2024.
- ↑ Высоцкая И.В., Летягин В.П., Черенков В.Г., Лактионов К.П., and Бубликов И.Д. Клинические рекомендации Российского общества онкомаммологов по профилактике рака молочной железы, дифференциальной диагностике, лечению предопухолевых и доброкачественных заболеваний молочных желез // Опухоли женской репродуктивной системы. — 2016. — № 3. — С. 43—52..
Данная статья имеет статус «готовой». Это не говорит о качестве статьи, однако в ней уже в достаточной степени раскрыта основная тема. Если вы хотите улучшить статью — правьте смело! |
Данная статья имеет статус «проверенной». Это говорит о том, что статья была проверена экспертом |