Коронарография
Важно! Информация в этой статье предоставлена в ознакомительных целях и не заменяет консультацию врача. Не занимайтесь самолечением и не используйте её для самостоятельной постановки диагноза. При симптомах заболевания обратитесь к квалифицированному специалисту. |
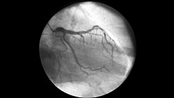
Коронарографи́я (лат. coronography — «рисование сосудов сердца»[1], или лат. coronarius — «относящийся к венку, напоминающий венок»[2] и лат. -graphia — «запись»)[3] — рентгеноконтрастное исследование, которое считается «золотым стандартом» диагностики ишемической болезни сердца (ИБС). Оно позволяет с максимальной точностью увидеть состояние коронарных артерий: где именно, насколько сильно и в каком виде они сужены или закупорены. Процедура даёт врачу-кардиологу полную картину и помогает сразу принять решение о тактике лечения.
Исследование инвазивное: в условиях операционной через артерию (обычно на руке или бедре) вводят тонкий катетер, по которому подают контрастное вещество непосредственно в сосуды сердца, одновременно выполняя рентгеновскую съёмку. В момент прохождения контраста по сосуду делают рентген-снимки (ангиограммы), на которых видно, как заполнен просвет артерии, есть ли сужения (стенозы), окклюзии, а также особенности кровотока[4].
Коронарографию проводят не только для первичной диагностики, но и для контроля состояния артерий после ранее выполненных операций или стентирования. Профессиональное название обследования — «коронароангиография», просторечное — «коронография». Встречается название «ангиография сердца»[5].
Преимущества метода, показания и противопоказания
Коронарография — самый точный и информативный метод диагностики ишемической болезни сердца. Она позволяет не только подтвердить диагноз, но и точно определить, где именно, насколько сильно и каким образом сужены или закупорены коронарные артерии.
Процедура назначается в следующих случаях:
- Оценка общего состояния кровотока в сосудах сердца.
- Выявление точного места и степени стеноза (сужения) артерий из-за атеросклеротических бляшек.
- Выбор оптимального метода восстановления кровотока: стентирование (через прокол) или операция аортокоронарного шунтирования.
- Контроль результатов уже выполненного лечения — проверка проходимости стентов и шунтов[6].
- Планирование операций на сердце.
Преимущества метода
- Максимальная информативность — даёт полную и чёткую картину состояния коронарных артерий.
- Высокая точность — позволяет поставить окончательный диагноз и сразу выбрать правильную тактику лечения.
- Быстрота — сама процедура занимает обычно 20—30 минут.
- Малая травматичность — делается через небольшой прокол (запястье или пах), под местной анестезией; пациент в сознании и может разговаривать с врачом.
- Низкий риск осложнений (кровотечение в месте прокола, аритмия, аллергия на контраст, инфаркт миокарда, тромбоз артерии и другое встречаются крайне редко).
- Быстрое восстановление — при неосложнённом течении и доступе через руку пациента часто выписывают домой уже в тот же день или на следующий[6].
Показания и противопоказания коронарографии
Коронарография назначается врачом после детального изучения состояния здоровья пациента и исключения рисков осложнений. Большинство ограничений носит временный характер, так как они поддаются лечебной коррекции. Выполнение процедуры становится возможным сразу после их устранения. Абсолютных противопоказаний к проведению коронарографии, если она показана (особенно при остром коронарном синдроме) — нет[6].
| Показания: | Противопоказания: |
|---|---|
|
|
Методика проведения
Коронарография проводится как в плановом, так и в экстренном порядке. Показания определяет лечащий кардиолог или кардиохирург на основании симптомов, результатов ЭКГ, УЗИ сердца (эхокардиография) и анализов крови. Помимо этого, могут быть назначены дополнительные исследования. Сама коронарография проводится в дневном стационаре или при плановой более длительной госпитализации[4][5].
Коронарографию важно проводить, когда пациент находится в спокойном и эмоционально уравновешенном состоянии. Это снижает вероятность осложнений и помогает всем органам и системам работать в нормальном режиме. Именно поэтому перед процедурой обязательно выполняют лёгкую седацию — вводят препараты, которые обеспечивают расслабление, снимают тревогу и внутреннее напряжение, при этом человек остаётся в сознании и может общаться с врачом[6].
Процедура проводится в специальной рентген-операционной на аппарате ангиографе. Это современная установка, которая позволяет видеть сосуды в реальном времени на большом экране. Под местной анестезией делают небольшой прокол в лучевой артерии (на запястье) или бедренной (в паху). Через этот прокол вводят тонкий гибкий катетер. Под контролем рентгена катетер аккуратно проводят по артериям до устьев коронарных сосудов сердца (путь обычно от руки или бедра до самого сердца). Через катетер порционно вводят рентгеноконтрастное вещество. Как только контраст заполняет коронарные артерии — они становятся отчётливо видны на экране ангиографа. Делается серия снимков и видеозапись. Врач сразу видит точное расположение, степень и характер сужений (стенозов) или закупорок. Если обнаруживается значимое сужение — прямо во время той же процедуры можно выполнить стентирование. По тому же катетеру или новому подводят специальный баллон со стентом (металлическая сеточка). Баллон раздувают — стент раскрывается и расправляет сосуд, восстанавливая нормальный кровоток. Разрезов и вскрытия грудной клетки для проведения коронарографии не требуется[4][5].
Обычно вся процедура занимает 10—20 минут. Проводится под местной анестезией — пациент в сознании, но ничего не чувствует в зоне прокола. Общий наркоз не требуется. После коронарографии пациента перевозят обратно в палату и наблюдают 4—5 часов в условиях дневного стационара или дольше, если того требуют медицинские показания. После коронарографии можно сидеть, есть и пить. Если возникают осложнения, пациента переводят в блок интенсивной терапии. При отсутствии осложнений пациента отпускают домой. В день проведения амбулаторной коронарографии (КАГ) пациент получает заключение с рекомендациями о дальнейшей тактике лечения и диск с результатом коронарографии[4][5].
Подготовка к коронарографии
Перед проведением коронарографии нужно провести предварительные обследования, чтобы убедиться в безопасности процедуры и исключить противопоказания. После получения всех результатов врач окончательно подтверждает возможность проведения коронарографии и выбирает наиболее безопасный доступ (через руку или бедро)[6].
| Анализы крови и мочи | Инструментальные обследования (обязательные) | Инструментальные обследования (по показаниям) |
|---|---|---|
|
|
В день коронарографии пациенту нельзя есть и пить с утра, чтобы не было рвоты во время введения контрастного вещества. Накануне или утром нужно выбрить волосы в месте предполагаемого прокола (обычно запястье правой руки или паховая область). Пациентам с сахарным диабетом, принимающим метформин, нужно прекратить его приём за 48 часов до процедуры[6].
Последствия
Во время коронарографии пациент находится в сознании и может наблюдать за ходом процедуры или слышать разговор кардиохирурга. Процедура безболезненная. В области сердца неприятных ощущений пациент не испытывает. Перед введением катетера в артерию в запястье или паху в месте прокола делается местная анестезия.
После окончания процедуры пациент некоторое время наблюдается в палате. Из неприятных последствий могут быть: припухлость и гематома в месте пункции (прокола и введения катетера), понижение артериального давления или одышка. Более серьёзные риски: аритмия, появление аллергии, сильное отслоение интимы артерии и развитие инфаркта миокарда. Пациенту, которому сделали коронарографию требуется наблюдение специалиста-кардиолога, а в случае осложнений — срочное обращение к врачу.
Коронарография — ключевой диагностический метод в современной кардиологии, позволяющий точно оценить состояние коронарных артерий, выявить стенозы и окклюзии, и на основании полученных данных определить тактику лечения (медикаментозную, стентирование, шунтирование). Несмотря на инвазивность, метод остаётся «золотым стандартом» при подозрении на ИБС[7].
Примечания
- ↑ 1,0 1,1 Полякова А., Кочисов Т. Коронарография сосудов сердца. Комсомольская Правда. Дата обращения: 4 декабря 2025.
- ↑ Coronary (англ.). Online Etymology Dictionary. Etymology, Origin & Meaning. Дата обращения: 4 декабря 2025.
- ↑ GRAPHY Definition & Meaning. Merriam-Webster: America's Most Trusted Dictionary. Дата обращения: 4 декабря 2025.
- ↑ 4,0 4,1 4,2 4,3 Мазеина Е., Ярахмедов Т. Ф. Что такое коронарография: рассказывает сердечно-сосудистый хирург. Медицинский портал MedPortal.ru (29 апреля 2025). Дата обращения: 4 декабря 2025.
- ↑ 5,0 5,1 5,2 5,3 5,4 Коронароангиография — золотой стандарт в диагностике ИБС. СПб ГБУЗ «Городская больница №40». Дата обращения: 4 декабря 2025.
- ↑ 6,0 6,1 6,2 6,3 6,4 6,5 6,6 6,7 Коротков И. М. Коронарография. Федеральный научно-клинический центр ФМБА России. Дата обращения: 4 декабря 2025.
- ↑ Коронарография сердца — что такое и что показывает коронарное обследование сосудов сердца. 1 Градская больница. Дата обращения: 5 декабря 2025.