Дрожжи

Полифилетическая группа грибов
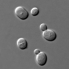
Клетки дрожжей Saccharomyces cerevisiae под микроскопомКлетки дрожжей Saccharomyces cerevisiae под микроскопом
Название
Дрожжи
Статус названия
не определён
Родительский таксон
Царство Грибы (Fungi или Mycota)
Представители
Все одноклеточные грибы
Commons-logo.svg Медиафайлы на Викискладе
Файл:Yeast Cell Diagram Illustration.jpg
Упрощённая схема типичной дрожжевой клетки

Дро́жжи — микроскопические одноклеточные грибы, относящиеся к царству грибов, играют ключевую роль в процессе ферментации. Они преобразуют сахара, выделяя при этом этанол и углекислый газ. В результате тесто становится воздушным, а в производстве пива и вина происходит брожение[1].

История

Файл:Breaddough2.jpg
Дрожжевое хлебное тесто

Дрожжи являются одними из самых древних «домашних организмов», известных человечеству. На протяжении тысячелетий люди применяли их для ферментации и выпекания хлеба. Археологические находки свидетельствуют о том, что в древнеегипетских городах существовали пекарни и жернова, а также изображения пекарей и пивоваров, что подтверждает их важную роль в жизни древних цивилизаций[1].

В XX веке до нашей эры человек научился использовать дрожжи, хотя и не знал об их существовании. Эти микроорганизмы работали на человека, создавая разнообразные напитки с содержанием этилового спирта. Напиток, похожий на современное пиво, известный как «буза», был известен ещё в Древнем Египте. Там же появился способ приготовления хлеба из дрожжевого теста. В Китае уже в X веке до нашей эры научились перегонять спирт из дрожжевого сусла для получения крепких алкогольных напитков[1].

Европейцы начали употреблять спиртное позже. Производство виски началось в Ирландии в XI веке, а в XIII веке в Европе стало популярным пивоварение. Важным событием этого периода стало первое описание дрожжей, которое в 1680 году сделал голландец Антоний ван Левенгук, рассмотрев их под микроскопом в капле бродящего пива. Его рисунки до сих пор удивляют точностью изображения дрожжевых клеток[1].

Второй этап охватывает весь XIX век, начиная с 1830-х годов. В это время происходило становление научных знаний о дрожжах, когда были впервые описаны их свойства и процессы жизнедеятельности. Француз Каньяр де Латур, а также немецкие учёные Теодор Шванн и Фридрих Кютцинг внесли значительный вклад в изучение дрожжей, описав их размножение, спорообразование и жизненные циклы. Именно тогда дрожжи получили название «сахарные грибы» — Saccharomyces[1].

Одним из ключевых событий этого периода стало исследование Луи Пастера в 18601876 годах, в ходе которого он доказал биохимическую природу спиртового брожения. В 1881 году датский учёный Эмиль Хансен впервые выделил чистые культуры дрожжей. Применение чистых культур радикально изменило виноделие и пивоварение, превратив эти отрасли из ремесла в крупные промышленные производства[1].

В XX веке нашей эры произошло значительное развитие исследований дрожжей, что привело к дифференциации научных направлений в этой области. В первой четверти прошлого столетия во Франции под руководством Антуана Гийермона сформировалось эволюционно-филогенетическое направление в систематике дрожжей. В этот же период была организована первая коллекция дрожжевых культур. С 1931 года в голландском городе Дельфт началось издание серии определителей дрожжей. В 1954 году в Советском Союзе вышел первый отечественный определитель дрожжей, подготовленный Владимиром Кудрявцевым[1].

Виды

Файл:Pivovarské kvasinky.jpg
Пивные дрожжи

Дрожжи разделяют по нескольким видам. По типу брожения[2]:

  • Верховые дрожжи, известные как Saccharomyces cerevisiae, функционируют при температуре от 15 до 25 °C. Они создают пенный слой, который всплывает на поверхность сусла, образуя так называемую шапку. Этот вид дрожжей часто используется для производства элей, стаутов и других сортов пива в эль-стиле.
  • Низовые дрожжи, или Saccharomyces pastorianus, работают при более низких температурах, в диапазоне от 7 до 13 °C. После завершения брожения они оседают на дно. Эти дрожжи являются основой для лагеров и пильзнеров.

По форме выпуска[2]:

  • Сухие активные дрожжи сохраняют свою жизнеспособность после процесса сушки, что делает их удобными для хранения и транспортировки.
  • Свежие прессованные дрожжи характеризуются высокой влажностью и активностью, требуя хранения в холодильнике.
  • Жидкие живые культуры представляют собой суспензию и используются в профессиональном пивоварении.

По назначению[2]:

  • Пивные дрожжи делятся на специализированные штаммы, которые определяют вкус и аромат различных стилей пива.
  • Хлебопекарские дрожжи предназначены для ускорения подъёма теста.
  • Винные дрожжи используются для производства вин и фруктовых дистиллятов.
  • Сидровые дрожжи разработаны специально для сбраживания яблочного сока.
  • Спиртовые дрожжи способны выдерживать высокое содержание алкоголя и влияют на букет вина и других алкогольных напитков.

Строение

Файл:Cider and apple juice.jpg
Сидр и яблочный сок

Дрожжи представляют собой одноклеточные организмы, которые размножаются почкованием. При этом дочерняя клетка возникает в виде маленькой почки, которая растёт в течение большей части клеточного цикла. По достижении почкой размера материнской клетки между ними появляется перегородка сложного состава. После отделения почки на материнской клетке образуется рубец — дочерний шрам, а на дочерней клетке — родовой шрам[3].

Клетки состоят из структур, которые можно разделить на две категории: микроскопические и субмикроскопические. Микроскопические структуры видны при увеличении в обычном микроскопе в 600—900 раз, а субмикроскопические — только в электронном микроскопе, который увеличивает до 15—20 тысяч раз. Эти структуры могут быть постоянно присутствующими в клетке или появляться в ней периодически. К постоянно присутствующим структурам относятся различные органеллы — клеточные компоненты, выполняющие определённые функции. Среди них: ядро с ядрышком, митохондрии, рибосомы, клеточная стенка, цитоплазматическая мембрана, эндоплазматический ретикулум (сеть), Аппарат Гольджи, лизосомы, хитосомы, гликосомы и другие мембранные структуры. Все клеточные органеллы окружены мембранами, в состав которых входит большое количество фосфолипидов. Их содержание и состав варьируются в зависимости от природы органеллы[4].

Жизненный цикл

Клеточный цикл регулируется на двух уровнях: первый — это цикл деления ДНК, связанный с репликацией ДНК и последующим митозом, а второй — цикл роста, который включает увеличение размера клетки.

В закрытой системе (периодическая культура) динамика популяции клеток описывается кривой роста, состоящей из нескольких фаз[3]:

  • Начальная фаза, также известная как лаг-фаза, характеризуется отсутствием видимых признаков размножения дрожжей. Однако внутри клеток активно протекают обменные процессы: синтезируются ферменты, необходимые для переноса и расщепления высокомолекулярных питательных веществ. В этот период клетки активно синтезируют нуклеиновые кислоты и ферменты, которые будут способствовать их дальнейшему росту. Благодаря биосинтезу новых компонентов масса клеток увеличивается. Продолжительность лаг-фазы зависит от множества факторов, включая количество посевного материала, его возраст и физиологическое состояние. Важную роль также играют состав питательной среды и физико-химические параметры процесса, такие как pH, температура, осмоляльность и другие. В этот период клетки особенно уязвимы к различным стрессовым воздействиям.
  • Фаза ускоренного роста характеризуется началом процесса почкования, что сопровождается увеличением биомассы в культуре.
  • Экспоненциальная фаза роста. В этот период клетки размножаются с максимальной скоростью. Численность популяции и биомасса увеличиваются в геометрической прогрессии. Из-за интенсивного деления клетки могут уменьшаться в размерах.
  • В фазе замедления роста концентрация питательных веществ в среде уменьшается, накапливаются токсичные метаболиты, а биомасса увеличивается. Клетки начинают активно накапливать резервные углеводы, в частности гликоген. Это приводит к замедлению деления клеток и их роста, а также к гибели некоторых клеток. Потребление кислорода снижается, и активность дыхательных ферментов падает.
  • В стационарной фазе прирост дрожжевых клеток замедляется, однако их размеры продолжают увеличиваться. Оставшиеся в среде сбраживаемые углеводы клетки используют для синтеза резервных веществ, таких как гликоген и трегалоза.
  • Период затухания (или отмирания) наступает, когда ресурсы питательной среды истощаются, а продукты обмена достигают максимального уровня. В это время скорость гибели клеток и автолиза превышает скорость их размножения, что приводит к уменьшению общей численности микроорганизмов и изменению состава окружающей среды.

Применение

Дрожжи используются в различных отраслях. В пищевой промышленности используются для придания тесту пористости и вкусовых качеств. Это происходит благодаря выделению углекислого газа. В биотехнологии применяются в качестве сырья для производства спирта, ферментов, витаминов и других биологически активных соединений. Для производства лекарственных препаратов и пробиотиков используют в медицине. В кормах для сельскохозяйственных животных применяются кормовые добавки, включающие дрожжи[2].

Дрожжи, которые применяют для выпечки хлеба, теряют свою активность при температуре выше 60 градусов. В процессе выпекания хлеб подвергается воздействию температуры в диапазоне 180—220 градусов в течение определённого времени. Хорошо испечённый хлеб абсолютно безопасен для употребления[5].

Примечания

  1. 1,0 1,1 1,2 1,3 1,4 1,5 1,6 Бабьева И. П., Чернов И. Ю. Биология дрожжей. Биология дрожжей. — М.: Московский государственный университет, 2004. — С. 7—10. — 239 с.
  2. 2,0 2,1 2,2 2,3 Дрожжи: как выбрать, виды, производство и применение. «Зип Сервис» (10 сентября 2025). Дата обращения: 10 ноября 2025.
  3. 3,0 3,1 Меледина Т. В., Давыденко С. Г. Дрожжи Saccharomyces cerevisiae. Морфология, химический состав, метаболизм. — СПб.: Университет ИТМО, 2015. — С. 6—7. — 88 с.
  4. Всё о дрожжах «Saccharomyces cerevisiae». Агросервер.Ру. Дата обращения: 10 ноября 2025.
  5. Специалисты Роспотребнадзора Башкирии. Роспотребнадзор по Республике Башкортостан (11 апреля 2025). Дата обращения: 11 ноября 2025.