Зубной камень

  • Важно! Информация в этой статье предоставлена в ознакомительных целях и не заменяет консультацию врача. Не занимайтесь самолечением и не используйте её для самостоятельной постановки диагноза. При симптомах заболевания обратитесь к квалифицированному специалисту.
Зубной камень
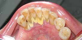
Зубные камни на нижней челюстиЗубные камни на нижней челюсти
МКБ-10

K03.64
наддесневой зубной камень

K03.65
поддесневой зубной камень[1]

Зубно́й ќамень — плотные минерализованные отложения на поверхности зубов, формирующиеся из зубного налёта под действием слюны. Они состоят из неорганических кристаллов (фосфаты кальция, гидроксиапатит) и органических компонентов ротовой жидкости, включающей в себя слюну и десневую жидкость, а также микробные биоплёнки[2]. Зубной камень в отличие от налёта самостоятельно простой чисткой зубов удалить нельзя[3]. При длительном существовании зубных камней возможен риск развития гингивита (воспаление десны[4]) и пародонтита, поскольку дёсны воспалены долгий период времени[5]. Удаление зубного камня производит стоматолог-гигиенист[6][7].

В международной классификации болезней МКБ-10 состояние соответствует коду K03.6 — «Отложения (наросты) на зубах». Более детально:

  • K03.64 — наддесневой зубной камень;
  • K03.65 — поддесневой зубной камень.

Диагностика и лечение данного заболевания регламентированы Федеральной клинической рекомендацией, утверждённой Минздравом России.

Причины образования (этиология)

Причины

Зубной налёт и в дальнейшем зубной камень представляют собой скопление микроорганизмов и продуктов их жизнедеятельности на поверхности зубов. В российской практике используется термин «зубной налёт», в зарубежной — «зубная бляшка» (англ. dental plaque). И налёт, и камень образуются в полости рта. В отечественной учебной стоматологической литературе термин «зубная бляшка» рассматривается как компонент/этап развития кариеса[8][7][3].

В некоторых работах встречается обозначение этих образований как «назубные» (вместо зубные налёт, бляшка и камень). Ко всем назубным образованиям применителен термин (назубные) отложения[9]. В некоторых стоматологических клиниках зубной налёт относят к разновидностям зубного камня, где налёт — это начальная стадия, а камень — поздняя[10].

Различие и сходство характеристик зубного налёта и зубного камня[9]
Назубные образования Различия Сходство
Твёрдость Минерализация Сроки завершения образования
Зубной налёт мягкий неминерализованный 2—4 часа после начала образования Находятся в наддесневой и поддесневой частях.

Причина: присутствие микрофлоры в полости рта и плохая гигиена.

Зубной камень твёрдый минерализованный 6—-7-е сутки после начала образования. По некоторым данным минерализация начинается в первые 24 часа[11], достигая необратимых изменений к вторым третьим суткам. Скорость минерализации зависит от индивидуальных особенностей организма[12].
Файл:Зубы.png
Коренные зубы правой половины нижней зубной арки. Вид сверху.

Объяснение природы образования назубных отложений варьируется в разных исследовательских работах. Наиболее распространённое мнение объясняет осаждение минералов на самой поверхности зуба при активной деятельности микроорганизмов, способных захватывать и удерживать минеральные компоненты слюны. Существует теория, согласно которой осаждение минералов сначала происходит внутри микроорганизмов в «назубном» пространстве. Согласно ещё одной теории микроорганизмы зубной бляшки вырабатывают аммиак из слюны в местах её застоя. Вследствие этого pH среды увеличивается и соли выпадают в осадок[9]. По большей части, прикрепление бактерий обеспечено выделяемыми ими белками[3]. В полной мере объяснение механики образования зубного налёта ещё формируется[13][14].

С микроорганизмами, формирующими назубные отложения, связывают развитие кариеса зубов и заболеваний пародонта[9]. На данный момент известно, что за развитие кариеса отвечают два вида бактерий: Streptococcus mutans и Selenomonas sputigena. Последняя, как считалось ранее, вызывает только заболевания дёсен[15].

В состав зубного камня входят белки, лейкоциты и микроорганизмы (30 %) и неорганические компоненты: кальций, фосфаты и карбонаты[16][3].

Механизм формирования назубных отложений подробно изучен именно на человеке. По данным ряда авторов, зубной камень в той или иной степени обнаруживается у 80 % людей даже при полностью здоровых дёснах и слизистой полости рта. Аналогичные стадии образования, их последовательность, распространённость и интенсивность в определённой мере должны встречаться и у других видов позвоночных животных[9].

Места скопления

Зубной камень чаще всего образуется:

Поддесневые отложения представляют наибольшую угрозу. Они незаметны при обычном осмотре, часто вызывают воспаление дёсен и даже разрушение костной ткани[5].

Факторы риска

Зубной камень образуется из неубранного зубного налёта при отсутствии полноценной гигиены рта или неправильной чистки зубов. Основные области скопления минерализованного отложения — зубы рядом со слюнными железами и те места, до которых не достаёт зубная щётка.

Ускорить образование зубного камня могут следующие факторы:

  1. Курение. Во время курения зубы покрываются тонкой смолянистой плёнкой, которая плотно прилегает к эмали. Её почти невозможно удалить даже во время чистки зубов. В дальнейшем к этой плёнке прикрепляются частицы пищи, формируя плотные отложения.
  2. Чай, кофе, вино, напитки и блюда с пищевыми красителями (злоупотребление). Принцип формирования налёта является аналогичным вышеописанному.
  3. Нарушение обмена веществ. Из-за этого слюна не справляется с естественной функцией очистки и сама может способствовать растворению зубной эмали.
  4. Гормональные изменения. Во время беременности и при других изменениях скорость образования зубного камня увеличивается.
  5. Газированные напитки, сладости, дефицит витаминов и минералов в организме, приём антибиотиков и других лекарственных препаратов, неправильный прикус, высокое слюноотделение, врождённая предрасположенность и некоторые заболевания[16].

Эпидемиология (закономерности возникновения)

Зубной камень встречается у людей всех возрастов. Меньше всего этим отложениям подвержены дети, так как молочные зубы имеют более гладкую поверхность и менее подвержены налёту. Тем не менее, важно соблюдать полноценную гигиену рта. У взрослых людей структура зубов более сложная и более разнообразный состав микроорганизмов, вызывающих образование зубного камня. С возрастом вероятность минеральных отложений на зубах возрастает. У пожилых людей снижается естественное слюноотделение, происходят изменения в структуре зубов и дёсен[14]. Увеличивают вероятность образования камня зубные протезы[10]. К причинам, вызывающим высокую частотность зубного камня у пожилых людей, относят ухудшение с возрастом мелкой моторики, в результате чего зубы освобождаются от налёта не так качественно, как надо[18].

Согласно исследования индийских врачей, у мужчин зубные камни встречаются чаще, чем у женщин. Это связано с гигиеническими привычками, образом жизни, а также с курением. Кроме этого, исследователи отмечают бо́льшее распространение людей с минеральными назубными отложениями в бедных развивающихся странах, для которых характерны низкий уровень общего образования и социальная осведомлённость о заболевании и его последствиях. В регионах с высоким содержанием кальция и фосфатов образование зубного камня происходит быстрее[18].

Диагностика

Диагностика основана на стоматологическом осмотре, использовании ручных зондов и зондирования десневых карманов.

🚩 Красные флажки (когда обязательно надо обратиться к врачу) 🚩

При дополнительной диагностике для уточнения заболеваний, вызванных зубным камнем, используют индекс Вольпе-Манхольда, представляющий собой метод количественной оценки образования зубного камня на язычной поверхности нижних передних зубов с помощью пародонтального зонда. Этот индекс оценивает несколько характеристик, в том числе кровоточивость при зондировании, глубину кармана и потерю прикрепления, чтобы определить степень и тяжесть воспаления дёсен. Наряду с этим используется индекс OHI-S (Green-Vermillion), упрощенный индекс гигиены полости рта; индекс KPI (индекс кровоточивости дёсен) и другие[18][20].

При необходимости простое первичное обследование можно выполнить и дома. Для этого ватный тампон слегка смачивают в йодном растворе и аккуратно проводят по пришеечной зоне зубов. Налёт и начальные отложения сразу окрашиваются и хорошо видны без дополнительного оборудования[16].

Клиническая картина (симптомы)

Файл:Maxillary tooth with calculus.jpg
Зубы верхней челюсти с налётом и зубным камнем

Образование зубного камня развивается постепенно и долгое время остаётся незаметным. На ранних этапах изменения обычно не вызывают дискомфорта, однако по мере увеличения плотных отложений начинают проявляться характерные признаки. Придесневая область зубов теряет гладкость и рельефность. Поверхность зубов становится более гладкой и твёрдой вследствие минерализации налёта, что ощущается во время чистки. Постепенно появляются изменения цвета. Минерализованные образования приобретают желтоватые или коричневые оттенки и могут становиться заметными при осмотре в зеркале.

Разрастание бактериальной пленки сопровождается стойким неприятным запахом, так как продукты жизнедеятельности микроорганизмов накапливаются в труднодоступных зонах. Воспаление десневого края приводит к повышенной чувствительности тканей и появлению кровоточивости при чистке или жевании. На более выраженных стадиях камень становится визуально различимым. Его плотные структуры выступают у линии десны, формируя светлые, жёлтые или коричневые участки.

Появление таких изменений свидетельствует о нарастании патологического процесса и требует профессиональной оценки стоматолога. Своевременное вмешательство позволяет остановить развитие воспаления, предупредить разрушение тканей пародонта и сохранить функциональное состояние зубного ряда[10].

Вред зубного камня

Зубной камень представляет собой не только эстетическую проблему, но и потенциальный риск заболеваний. Разрушительное воздействие на зубы и дёсны оказывают как микроорганизмы образования, так и механическая деформация. Кроме того, хронический очаг воспаления в полости рта может негативно влиять на весь организм.

Вред для зубов

  • Разрушение эмали, в результате чего развивается кариес. Микроорганизмы, находящиеся под плотным слоем зубного камня выделяют кислоты, разрушающие эмаль.
  • Провоцирует чувствительность зубов на холодное, горячее, кислое и сладкое из-за истончения эмали. Чувствительность появляется вследствие оголения корней зубов.
  • Нарушает гигиену рта, так как зубной камень делает поверхность зуба шероховатой, что ускоряет накопление налёта и препятствует полноценной чистке зубов. Возникает замкнутый круг: налёт → камень → ещё больше налёта[5].
  • Перекос зубов. Крупные зубные отложения создают неравномерное давление на разные участки зубного ряда. Постепенно это может изменить положение отдельных зубов, вызвать смещение или ротацию, нарушить прикус и затруднить жевание. В тяжёлых случаях искривление зубов отражается и на речи, так как изменяется положение языка и взаимодействие зубных поверхностей.
  • Потеря зубов. Если зубной камень не удалять своевременно, воспаление дёсен и разрушение опорных тканей прогрессируют. Пародонтальные структуры становятся слабее, зубы теряют устойчивость и могут выпадать. При утрате зубов часто требуется комплексное восстановление — от имплантации до различных видов протезирования[10].

Вред для дёсен

Файл:Depiction of a woman with bleeding gums or gingival bleeding or bleeding on probing.png
Изображение женщины с кровоточащими дёснами

Зубной камень является одним из ключевых факторов, поддерживающих хроническое воспаление дёсен. Его плотные отложения давят на окружающие мягкие ткани, ухудшают местный кровоток и формируют благоприятную среду для размножения микробов. Это приводит к развитию гингивита, при котором дёсны становятся красными, отёчными, болезненными и начинают кровоточить во время чистки.

Если патологический процесс не остановить, воспаление распространяется на более глубокие структуры и трансформируется в пародонтит — заболевание, затрагивающее связочный аппарат зуба. В десне формируются пародонтальные карманы, где продолжают накапливаться бактерии, что ускоряет разрушение тканей. Тяжёлыми формами периодонтальных болезней страдает около одного миллиарда человек по всему миру.

По мере дальнейшего развития заболевания появляется подвижность зубов. Камень способствует утрате костной поддержки и снижению уровня прикрепления дёсен, оголяются шейки зубов. Со временем зубы становятся нестабильными, смещаются и при тяжёлом течении могут полностью утрачиваться[5].

Вред для организма

Длительное воспаление в полости рта повышает нагрузку на иммунную систему и способно стать дополнительным фактором риска для ряда состояний.

Хронический воспалительный процесс и бактерии из зубного налёта могут проникать в системный кровоток, что связывают с повышенной вероятностью развития сердечно-сосудистых заболеваний. Постоянное воспаление также ухудшает реакцию тканей на инсулин, что может способствовать нарушению углеводного обмена и повышать риск сахарного диабета. Кроме того, ослабление местных защитных механизмов повышает восприимчивость к инфекциям дыхательных путей.

Клинические данные подтверждают, что системное влияние зубного камня реально существует. Чем дольше сохраняется воспаление дёсен, тем выше вероятность появления связанных с ним заболеваний[5]. Кроме этого, зубной камень может вызывать дискомфорт из-за появления во рту металлического привкуса[10].

Выявить наличие отложений и принять решение о способе устранения проблемы может только врач. Именно поэтому следует обратиться к нему при первых же признаках патологического состояния[16].

Методы удаления зубного камня

Файл:Tooth section international.png
Пародонт — комплекс тканей, окружающий и удерживающий зуб в кости. Составляющие элементы: десна, периодонт, костная ткань альвеолы и цемент
1 — эмаль
2 — дентин
3 — пульпа
4 — десна (пародонт)
5 — цемент корня (пародонт)
6 — области бифуркации
7 — периодонт (пародонт)
8 — кость (пародонт)
9 — кровеносные сосуды
10 — нервы
11 — апикальное отверстие

А — коронка зуба
В — корень зуба[21][22]

Удаление зубного камня проводится только в условиях стоматологической клиники с использованием профессионального оборудования и специализированных инструментов. Цель процедуры — устранение минерализованных отложений, снижение бактериальной нагрузки и предупреждение воспалительных заболеваний пародонта. В современной практике применяется несколько методик, каждая из которых подбирается с учётом плотности камня, состояния мягких тканей, оснащённости клиники и особенностей пациента[3].

Одним из наиболее распространённых способов является ультразвуковая чистка. Скейлер, или скалер (устройство для удаления зубного камня[23]) формирует высокочастотные вибрации, разрушающие минерализованные отложения без повреждения эмали. Подача воды обеспечивает охлаждение и дополнительный дезинфицирующий эффект благодаря выделению активного кислорода. Техника позволяет эффективно удалять камень как наддесневой, так и поддесневой локализации[3]. Противопоказанием служат отдельные кардиологические устройства, включая имплантированные кардиостимуляторы.

Механическое удаление (кюретаж) предусматривает использование ручных инструментов — кюрет и скейлеров. Методика особенно эффективна при очень плотных, глубоко расположенных отложениях. Несмотря на возможный дискомфорт, она остаётся базовым вариантом лечения в государственных клиниках в рамках ОМС, где применяется для удаления наддесневых и поддесневых отложений. При чувствительности или выраженном воспалении используется местная анестезия.

Для дополнительной очистки и устранения поверхностной пигментации используется Air Flow — воздушно-абразивная обработка смесью воды, воздуха и порошка мелкой дисперсии. Струя под давлением удаляет мягкие и пигментированные отложения, выравнивает поверхность эмали и улучшает доступ к межзубным промежуткам. Методика обычно применяется после ультразвуковой чистки для окончательной обработки труднодоступных участков, а также для предварительной полировки поверхности зуба.

В частных клиниках всё шире применяется лазерное удаление. Лазерный луч разрушает минерализованные отложения точечно и бесконтактно, снижая риск травмы десневого края. Высокая точность позволяет выполнять процедуру при выраженной чувствительности зубов, а дополнительный бактерицидный эффект способствует уменьшению воспаления. Ограничивающим фактором служит высокая стоимость и необходимость специализированного оборудования.

В отдельных ситуациях используется химическое размягчение плотных отложений с помощью растворов кислот (этилендиаминтетрауксусная кислота) или щелочей. Этот метод позволяет ослабить структуру камня перед последующим инструментальным удалением, но из-за воздействия на эмаль применяется лишь как вспомогательный.

Заключительным этапом любой процедуры является полировка эмали с использованием паст различной абразивности. Она устраняет микрошероховатости, снижает адгезию налёта и улучшает эстетические характеристики зубов. Далее проводится фторирование, направленное на укрепление эмали, снижение чувствительности и повышение её устойчивости к кислотной деминерализации. Фторирование не рекомендовано без предварительной реминерализационной терапии — «насыщения эмали зубов кальцием». Фторирование является заключительным этапом формирования защиты эмали. При наличии воспалительных изменений тканей пародонта назначается дополнительная терапия[5][10][16].

Профилактика образования зубного камня

Файл:PersonalHygeine p54.jpg
Схема правильного использования зубной щётки. 1924 год.

Профилактика направлена на предотвращение минерализации зубного налёта и снижение бактериальной нагрузки в полости рта. Регулярная гигиена, рациональное питание и своевременные стоматологические осмотры позволяют существенно уменьшить риск формирования наддесневых и поддесневых отложений, а также связанных с ними воспалительных заболеваний.

Основой профилактики является ежедневная гигиена полости рта. Чистка зубов проводится дважды в день с применением фторсодержащей пасты и мягкой или средней жёсткости щётки. Особое внимание уделяется пришеечной зоне и межзубным промежуткам. Щётка должна двигаться от десны к краю зуба выметающими или круговыми движениями — не горизонтально, чтобы не травмировать эмаль. Продолжительность чистки — две минуты и дольше.

Регулярная чистка зубов и своевременное удаление мягкого налёта способствуют естественному созреванию и укреплению зубной эмали. Биологически активные компоненты, входящие в состав средств гигиены, обогащают ткани зуба и пародонта солями фосфатов, кальция, микроэлементами, витаминами, повышая их устойчивость к вредным воздействиям. Кроме того, щётка при чистке выполняет лёгкий массаж дёсен, что активизирует обменные процессы и улучшает кровоснабжение пародонта[24].

Для удаления налёта между зубами используются зубная нить, межзубные щётки или специальные флоссеры. Регулярная очистка языка снижает микробную нагрузку и предотвращает неприятный запах. Электрические и ультразвуковые щётки повышают эффективность ухода, обеспечивая лучшее удаление мягкого налёта.

Важным элементом гигиены является использование ирригатора, обеспечивающего очистку межзубных промежутков и поддесневых пространств струёй воды под давлением. Ирригатор, в основном, нужен для массажа зубодесневых сосочков, делая их более устойчивыми к механическим повреждениям. Вымывание остатков пищи является полезным дополнительным фактором. Именно поэтому основной поток должен быть направлен не на зубы, а на десны между ними[25]. Это способствует уменьшению количества бактерий, удалению остатков пищи и профилактике воспаления дёсен, особенно при ношении ортодонтических конструкций, наличии имплантов или плотных межзубных контактов. В дополнение применяются ополаскиватели с антисептическими и реминерализующими компонентами, которые снижают бактериальную активность и укрепляют эмаль.

При выборе средств ухода учитывается состав зубной пасты. Эффективны формулы, содержащие фтор, пирофосфаты, ферменты или цитраты, препятствующие минерализации налёта. Отбеливающие пасты допускаются только курсами из-за высокой абразивности. Жёсткие щётки не рекомендуются из-за риска повреждения эмали и десневого края. Мягкие подходят пациентам с гиперестезией. Замена щётки проводится каждые 2—3 месяца.

К числу средств, эффективно улучшающих гигиену полости рта за счёт увеличения объёма и скорости выделения слюны, относятся жевательные резинки. Они помогают очищать поверхность зубов и нейтрализовать органические кислоты, которые продуцируют бактерии зубного налёта.

Жевательная резинка оказывает на ткани полости рта следующее действие:

  • значительно ускоряет слюноотделение;
  • стимулирует выработку слюны с более высокой буферной ёмкостью;
  • нейтрализует кислоты зубного налёта;
  • обеспечивает лучшее омывание слюной труднодоступных участков;
  • ускоряет выведение сахарозы из слюны;
  • удаляет остатки пищи[26].

В состав жевательных резинок входят:

  • основа (смолы, парафин) — 20-30 % массы, обеспечивает вязкость и быстро размягчается при температуре тела;
  • подсластители (сахар или, предпочтительнее, сахарозаменители) — придают сладкий вкус;
  • ароматизаторы (мята, эвкалипт, фруктовые эссенции) — создают приятный запах;
  • эмульгаторы и стабилизаторы (глицерин, растительные масла) — сохраняют мягкость и равномерно распределяют компоненты[26].

Одно из ключевых свойств жевательной резинки — способность увеличивать слюноотделение в три раза по сравнению с состоянием покоя. Это происходит за счёт механического раздражения при жевании и вкусовой стимуляции наполнителями. Слюна при этом проникает даже в межзубные промежутки.

Клинически доказано: при сниженном слюноотделении регулярное использование жевательной резинки нормализует секрецию слюны и уменьшает сухость во рту. Кроме того, жевание помогает справляться с никотиновой зависимостью.

Сегодня предпочтение отдают резинкам на основе сахарозаменителей: они дают сладкий вкус, но практически не ферментируются бактериями до кислот, благодаря чему обладают выраженным противокариесным эффектом[26].

Рацион также оказывает влияние на образование отложений. Ограничение сахара и кислых продуктов, снижение потребления кофе, крепкого чая и табака уменьшают риск ускоренной минерализации налёта. Употребление твёрдых овощей и фруктов обеспечивает естественную очистку поверхности зубов за счёт жевательной нагрузки. Поддержание общего иммунитета способствует более эффективному контролю микробной флоры полости рта.

Неотъемлемым компонентом профилактики являются регулярные стоматологические осмотры, проводимые каждые шесть месяцев[7]. Врач оценивает состояние мягких и твёрдых тканей, выявляет участки накопления налёта и при необходимости выполняет профессиональную чистку — ультразвуковую, механическую или воздушно-абразивную. При наличии заболеваний пародонта корректируются схемы ухода и назначается дополнительная терапия. В отдельных клинических случаях частота профессиональной гигиены увеличивается, например, при ношении брекетов.

Комплексная профилактика, включающая домашний уход и регулярное профессиональное наблюдение, обеспечивает контроль над образованием зубного камня, поддерживает здоровье дёсен и снижает риск развития воспалительных и деструктивных процессов в тканях пародонта[5][10][16].

Лечение животных

Владельцы домашних животных — кошек и собак — сталкиваются с симптомами развития минерализованных зубных отложений. Они проявляются в потемнении зубов, плохом запахе изо рта, снижении аппетита, обильном слюнотечении. К ветеринарам владельцы обращаются, когда клиническая картина приобретает ярко-выраженный характер. Наиболее подвержены данной патологии следующие породы: собаки — йоркширский терьер, тойтерьер пудель, шпиц, спаниель, чихуа-хуа; кошки — персидская, британская и шотландская[27].

Причины возникновения зубного камня у животных:

  • неправильная гигиена полости рта;
  • шероховатость зубной эмали;
  • неправильный прикус,
  • преобладание в рационе мягких кормов;
  • несбалансированные рационы с неправильным соотношением минеральных веществ, которые могут способствовать изменению pH ротовой полости и приводить к минерализации налета и образованию зубного камня;
  • некоторые нарушения обмена веществ;
  • генетическая предрасположенность животных[27].

Возраст животных, когда активнее всего идёт минерализация зубного налёта у собак от 1 года до 5 лет, у кошек — от 6 до 10 лет. Согласно исследованиям, выделяются породы кошек и собак с предрасположенностью к образованию зубного камня[27].

Животные, как и люди, нуждаются в своевременном лечении заболеваний десен. Начиная с домашней гигиены полости рта, заканчивая профессиональной гигиеной под седацией/наркозом (выполняет ветеринар или ветеринарный стоматолог).

Примечания

  1. Международная классификация болезней полости рта, слюнных желёз и челюстей (МКБ-10). Институт Гнатологии. Дата обращения: 1 декабря 2025.
  2. Кузьмина Э. М. Профилактика стоматологических заболеваний. Учебное пособие. — М.: Тонга-Принт, 2001. — С. 12. — 216 с. — ISBN 5-94566-001-9.
  3. 3,0 3,1 3,2 3,3 3,4 3,5 3,6 3,7 Суворова М. Н., Емелина Г. В., Иванов П. В., Зюлькина Л. А., Кузнецова Н. К., Капралова Г. А. Профилактика и коммунальная стоматология. — Пенза: Издательство ПГУ ( Пензенский государственный университет), 2015. — С. 9, 15, 18, 21—28, 33—40. — 96 с.
  4. Клинические рекомендации (протоколы лечения) при диагнозе гингивит. Министерство здравоохранения Мурманской области (30 сентября 2014). Дата обращения: 1 декабря 2025.
  5. 5,0 5,1 5,2 5,3 5,4 5,5 5,6 Зубной камень: скрытая угроза для здоровья. ООО «Капитал МС». Дата обращения: 1 декабря 2025.
  6. Профессия стоматологический гигиенист. ООО Поступи Онлайн. Дата обращения: 2 декабря 2025.
  7. 7,0 7,1 7,2 Клинические рекомендации (протоколы лечения) при диагнозе «Кариес зубов». Официальный сайт Ханты-Мансийской клинической стоматологической поликлиники (30 сентября 2014). Дата обращения: 3 декабря 2025.
  8. Николаев А. И., Цепов Л. М. Практическая терапевтическая стоматология. Учебное пособие. — 9-е изд. — М.: МЕДпресс-информ, 2014. — С. 21. — 928 с. — ISBN 978-5-98322-642-8.
  9. 9,0 9,1 9,2 9,3 9,4 Бойченко О. Н., Котелевская Н. В., Николишин А. К., Зайцев А. В. Анализ представлений о зубных отложениях // Вісник проблем біології і медицини : журнал. — 2017. — Т. 1, № 3. — С. 19—24. — ISSN 2077-4214.
  10. 10,0 10,1 10,2 10,3 10,4 10,5 10,6 Зубной камень: причины возникновения, как выглядит и как удалить. MG Clinic. Дата обращения: 1 декабря 2025.
  11. Зубной камень: причины, симптомы, последствия и профилактика образования. Войнилко Е. А. (3 июня 2025). Дата обращения: 3 декабря 2025.
  12. Кузьмина Э. М. Профилактика стоматологических заболеваний. Учебное пособие. — М.: Тонга-Принт, 2001. — С. 20. — 216 с. — ISBN 5-94566-001-9.
  13. Кузьмина Э. М. Профилактика стоматологических заболеваний. Учебное пособие. — М.: Тонга-Принт, 2001. — С. 10, 20—21. — 216 с. — ISBN 5-94566-001-9.
  14. 14,0 14,1 14,2 14,3 Гуляева О. А., Буляков Р. Т., Герасимова Л. П., Чемикосова Т. С. Современные методы в комплексном лечении воспалительных заболеваний пародонта. — Уфа: УралПолиграфСнаб, 2016. — С. 7, 22, 24—24, 153, 171. — 190 с. — ISBN 978-5-600-01470-1.
  15. Кузьмина Э. М. Профилактика стоматологических заболеваний. Учебное пособие. — М.: Тонга-Принт, 2001. — С. 10. — 216 с. — ISBN 5-94566-001-9.
  16. 16,0 16,1 16,2 16,3 16,4 16,5 Почему образуется зубной камень?. АО «Группа Компаний «Медси» (11 августа 2021). Дата обращения: 1 декабря 2025.
  17. Кузьмина Э. М. Профилактика стоматологических заболеваний. Учебное пособие. — М.: Тонга-Принт, 2001. — С. 11. — 216 с. — ISBN 5-94566-001-9.
  18. 18,0 18,1 18,2 Thakur, A., Kooner, A.K., Goel, S. et al. Prevalence of rapid calculus formers and its associated factors amongst patients visiting a dental hospital: a preliminary investigation (англ.) // BMC Oral Health. — 2024. — 16 August (vol. 24, no. 956 (2024)). — P. 2—8. — doi:10.1186/s12903-024-04720-w.
  19. Николаева Н. Н., Ефимова И. Н. Уход за полостью рта: рекомендации стоматологов (для населения). ОГБУЗ «Центр общественного здоровья и медицинской профилактики». Дата обращения: 3 декабря 2025.
  20. Полехин А. В. Индексы гигиены полости рта. NanoCureTech (22 октября 2024). Дата обращения: 2 декабря 2025.
  21. Строение и функции пародонта. ООО «ТИГРИД». Дата обращения: 1 декабря 2025.
  22. Анатомия пародонта (тканей пародонта). MedUniver. Дата обращения: 1 декабря 2025.
  23. Vector Scaler. GALIT. Дата обращения: 1 декабря 2025.
  24. Кузьмина Э. М. Профилактика стоматологических заболеваний. Учебное пособие. — М.: Тонга-Принт, 2001. — С. 65—66. — 216 с. — ISBN 5-94566-001-9.
  25. Эйша М. Лучшие портативные ирригаторы в 2025 году. My Gadget (11 ноября 2025). Дата обращения: 3 декабря 2025.
  26. 26,0 26,1 26,2 Кузьмина Э. М. Профилактика стоматологических заболеваний. Учебное пособие. — М.: Тонга-Принт, 2001. — С. 82. — 216 с. — ISBN 5-94566-001-9.
  27. 27,0 27,1 27,2 Хромова А. Д., Маннова М. С. Влияние различных факторов на возникновение зубного камня у плотоядных // Форум молодых учёных. — 2018. — № 9 (25). — С. 809—814.