Желчнокаменная болезнь

Жёлчнокаменная болезнь
Жёлчный пузырь с камнямиЖёлчный пузырь с камнями
МКБ-10 K80
DiseasesDB 2533
MeSH D002769
Commons-logo.svg Медиафайлы на Викискладе

Жёлчнокаменная болезнь (холелитиаз от др.-греч. χολή — жёлчь и λίθος — камень) — образование камней (конкрементов) в жёлчном пузыре, жёлчных протоках (жёлчные камни). При неосложнённом течении заболевания применяются консервативные методы терапии. Если при помощи РХПГ с ЭПСТ не получается извлечь конкремент из жёлчного протока (холедоха), то показано оперативное лечение.

История

Желчнокаменная болезнь известна с глубокой древности. Древнеримский медик Гален обнаруживал желчные камни при вскрытии тел умерших. Упоминания о желчнокаменной болезни встречаются в трудах врачей эпохи Возрождения. В 1341 году Джентиле да Фолиньо в Падуе при бальзамировании трупа знатной женщины обнаружил в шейке желчного пузыря большой зеленый камень. Во второй половине ХV века флорентийский врач Антонио ди Паоло Бенивьени при вскрытии трупа женщины, долгое время страдавшей приступами печёночной колики, нашел в желчном пузыре камень черного цвета величиной с орех. В 1546 году нидерландский врач Везалий сообщил об обнаружении камней в желчном пузыре при вскрытии двух трупов мужчин. Развитие анатомии в XVIXVII веках способствовало изучению заболеваний печени и желчного пузыря. В этот период камни в желчном пузыре стали довольно частой находкой и описывались многими авторами. Холедохолитиаз впервые был описан нюрнбергским врачом Волхером Койтером в 1573 году. На следующий год французский врач Жан Фернель описал клиническую картину желчнокаменной болезни и установил её связь с желтухой[1].

В 17571766 годах отдельные находки, мысли и высказывания о желчнокаменной болезни, были суммированы и развиты Альбрехтом Галлером в его знаменитых трудах «Opuscula pathologica» и «Elementa physiologiae corporis humani». Он показал, что желчные камни встречаются не только у людей, но и у животных. Все желчные камни он разделил на два класса: большие яйцеобразные, часто одиночные камни и более мелкие — тёмно окрашенные, многогранные, которые часто находят не только в пузыре, но и желчных ходах. Ему принадлежит заслуга применения статистических методов в изучении желчнокаменной болезни. В 1757 году появилась первая монография, целиком посвященная клинике и лечению желчнокаменной болезни «A treatise on biliary concretions» которая была написана английским врачом Томасом Сиденхемом. Она дала толчок многочисленным исследованиям состава желчных камней и методов их растворения. В эти же годы были опубликованы работы французского исследователя Франсуа Пуллетье де ла Саль, который обнаружил в желчных камнях похожую на соль субстанцию, представленную тонкими серебристыми пластинками. Так в желчных камнях был открыт холестерин. В 1824 году холестерин был выделен также из желчи независимо друг от друга Мишелем Шеврёлем и Леопольдом Гмелиным. В середине XIX века появились теории происхождения желчных камней. С самого начала при всем многообразии взглядов различных авторов можно выделить два основных направления. Сторонники одного из них причину возникновения желчнокаменной болезни видели в ненормальном состоянии печени, которая продуцирует патологически измененную желчь, что и приводит к выпадению в осадок её плотных составных частей. Представители другого направления считали причиной заболевания патологические изменения (воспаление, стаз) в желчном пузыре. Основателем первого из названных направлений является английский врач Иоганн Людвиг Вильгельм Тудихум, предположивший, что зачатки камней образуются вследствие сгущения патологически измененной желчи еще во внутрипеченочных желчных ходах[1].

В это же время появились работы Клодта Бернара оказавшие огромное влияние на развитие знаний по физиологии и патологии печени. Его исследования углеводного обмена, открытие гликогена в печени, сама концепция о печени как центральной химической лаборатории организма полностью перевернули существовавшие в то время представления о её функции. Вторая группа теорий, рассматривающая патологические изменения в желчном пузыре как причину возникновения желчных камней, связана с появлением в 1856 году книги «Mikrogeologie», автором которой был Иоганн Меккель. На значение воспалительных изменений и инфекции в патогенезе желчнокаменной болезни указывал в своих клинических лекциях Сергей Боткин. Позже Бернхард Наунин, основываясь на достижениях микробиологии того времени, подробно изучил роль инфекции в возникновении воспалительных изменений в стенке желчного пузыря, которые приводят к образованию желчных камней[1].

В начале ХХ века появились фундаментальные работы Людвига Ашоффа и его учеников. Кроме детального изучения структуры желчных камней, сопоставив полученные данные с клиническими, основываясь на большом числе наблюдений, он разработал теорию нарушения обмена веществ как причины возникновения холелитиаза. Им же была выдвинута концепция «застойного желчного пузыря». Позже теории камнеобразования были обобщены в работе ученика Сергея Фёдорова Петра Березкина в 1931 году. Хирургическое лечение желчнокаменной болезни стали систематически проводить во второй половине XIX века, после разработки методов асептики и антисептики. Однако отдельные смелые для своего времени попытки оперативных вмешательств на желчном пузыре предпринимались и раньше[1].

В клинике первая операция на желчном пузыре была в 1735 году осуществлена Пети, Жан-Луи. Он рекомендовал проводить холецистостомию двухмоментно, добиваясь вначале сращения желчного пузыря с брюшной стенкой. Первая одномоментная холецистостомия с удалением камней в 1867 году выполнил Джон Стоу Боббс. При лапаротомии, проведенной по поводу предполагаемой опухоли, он обнаружил наполненный камнями желчный пузырь, вскрыл его и удалил камни. Однако датой, положившей начало хирургии желчного пузыря, следует считать 1882 год, когда Карл Иоганн Август Лангенбух осуществил первую холецистэктомию[1]. В России первую холецистотомию провел Евгений Павлов в 1884 году, а холецистостомию — Николай Склифосовский в 1890 году. Нестор Монастырский первый в России в 1887 году осуществил холецистоэнтеростомию. Первую холецистэкмию выполнил в 1889 году Юлиан Косинский. Огромный вклад в развитие хирургии желчного пузыря и желчных путей внесли Сергеё Фёдоров, Иван Греков, Алексей Мартынов[1].

Основные понятия

Файл:Gallbladder stones.jpg
3D-анимация, демонстрирующая камни в желчном пузыре
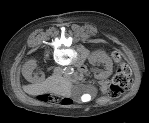
Файл:LargeGstone.png
Крупный желчный камень, видимый на КТ
Файл:Gall-stones and diseases of the bile-ducts (1908) (14590720790).jpg
Камни в желчном пузыре и заболевания желчных протоков

Желчнокаменная болезнь это заболевание обусловленное нарушением обмена холестерина или билирубина, с образованием камней (холелитиаз) в жёлчном пузыре или в жёлчных протоках. Желчнокаменная болезнь значительно распространена в странах Европы и Северной Америки, поражает в основном людей среднего возраста, преимущественно женщинский пол. Факторами риска развития Желчнокаменной болезни являются ожирение, быстрое похудание, парентеральное питание, голодание; длительный приём производных фиброевой кислоты (фибратов), пероральных контрацептивов, октреотида, цефтриаксона; множественные беременности, Болезнь Крона (тяжёлое хроническое системное гранулёматозное воспалительное заболевание желудочно-кишечного тракта, которое может поражать все его отделы, начиная от полости рта и заканчивая прямой кишкой, с преимущественным поражением терминального отрезка подвздошной кишки), гипертриглицеридемия, сахарный диабет, хронический гемолиз, цирроз печени, инфекция билиарной (желчеобразующей) системы, дуоденальные и холедохальные (жёлчного протока) дивертикулы, стволовая ваготомия, резекция желудка[2][3][4].

Камнеобразование в билиарной системе является результатом дестабилизации коллоидальной устойчивости жёлчи, сопровождающейся выпадением в осадок основных её компонентов (холестерина, билирубина, неорганических и органических солей кальция и муциновых гликопротеидов). К образованию камней ведут три основные причины: нарушение липидного обмена, инфицирование и застой жёлчи. При увеличении уровня холестерина в жёлчи или недостатке жёлчных кислот холестерин выпадает в осадок, способствуя образованию камней. Избыток холестерина в жёлчи возникает при ожирении, богатой холестерином диете; при уменьшении секреции в жёлчь жёлчных кислот и фосфолипидов. Камнеобразованию способствуют воспаление, инфекция жёлчных путей. По выраженности проявлений Желчнокаменной болезни выделяют три стадии: физико-химическую, или предкаменную (жёлчь перенасыщена холестерином, содержание жёлчных кислот и фосфолипидов уменьшено — литогенная жёлчь, или жёлчный сладж); латентную (бессимптомное наличие камней в жёлчном пузыре) и клиническую (острый калькулёзный и хронический холецистит)[2][3][4].

Основные клинические проявление Желчнокаменной болезни это печёночная колика, которая проявляется внезапной острой болью (колика) в правом подреберье, часто иррадиирующей в правое плечо, шею, иногда в область сердца. Появляясь в результате нарушения оттока жёлчи из жёлчного пузыря, вызванного закупоркой камнями из жёлчного пузыря внутрипечёночных жёлчных протоков или общего жёлчного протока. Колики могут появляться также при дискинезии жёлчевыводящих путей, хроническом бескаменном холецистите. Она продолжается от нескольких минут до нескольких часов и дней. Её провоцируют употребление жирной и жареной пищи, алкоголя, физические нагрузки[5]. Другие симптомы Желчнокаменной болезни это тошнота, рвота пищей и жёлчью, незначительное повышение температуры. Характерны также лейкоцитоз (увеличение числа лейкоцитов в единице объёма крови), увеличение скорости оседания эритроцитов, гиперхолестеринемия, повышение концентрации прямого билирубина и щелочной фосфатазы[2][3][4].

Диагностика и лечение

Острый приступ Желчнокаменной болезни обычно является показанием к экстренной госпитализации в хирургическое отделение и холецистэктомии (удалению жёлчного пузыря). До образования камней или при наличии камней размером не более шести миллиметров в диаметре возможно консервативное лечение (препараты урсодезоксихолевой кислоты). Холестериновые камни большого диаметра подлежат предварительному фрагментированию с помощью дистанционной ударноволновой литотрипсии[2][3][4].

Самым популярным методом диагностики Желчнокаменной болезни является ультразвуковое исследование. В случае проведения УЗИ квалифицированным специалистом необходимость в дополнительных обследованиях отсутствует. Хотя для диагностики может использоваться также холецистоангиография, ретроградная панкреатохолангиорентгенография. Компьютерная томография и Магнитно-резонансная томография с большей точностью позволяют диагностировать течение болезни.

Примечания

  1. 1,0 1,1 1,2 1,3 1,4 1,5 Ю. М. Дедерер, Н. П. Крылова, Г. Г. Устинов Желчнокаменная болезнь: исторический очерк // «Хирургия», 1999
  2. 2,0 2,1 2,2 2,3 Жёлчнокаменная болезнь // Большая российская энциклопедия : [в 35 т.] / гл. ред. Ю. С. Осипов. — М. : Большая российская энциклопедия, 2004—2017.
  3. 3,0 3,1 3,2 3,3 Желчнокаменная болезнь / Аравийский A. H., Кашкин П. H., Шеклаков Н. Д., Хмельницкий О. К. // Большая медицинская энциклопедия : в 30 т. / гл. ред. Б. В. Петровский. — 3-е изд. — М. : Советская энциклопедия, 1978. — Т. 8 : Евгеника — Зыбление. — 528 с. : ил.
  4. 4,0 4,1 4,2 4,3 Болезни печени и желчевыводящих путей / Рос. о-во по изучению печени; [Богомолов Павел Олеговичи и др.]; гл. ред. Ивашкин Владимир Трофимович ; ред. Буеверов А. О. [и др.]. — Изд. 2-е испр. и доп. — Москва : М-Вести, 2005. — 536 с. — ISBN 5-901598-12-1
  5. Печеночная колика // Большая медицинская энциклопедия: актуализированное и дополненное издание. — М.: Эксмо, 2015. — С. 261. — ISBN 978-5-699-66252-

Литература

  • Жёлчнокаменная болезнь // Большая российская энциклопедия : [в 35 т.] / гл. ред. Ю. С. Осипов. — М. : Большая российская энциклопедия, 2004—2017.
  • Желчнокаменная болезнь / Аравийский A. H., Кашкин П. H., Шеклаков Н. Д., Хмельницкий О. К. // Большая медицинская энциклопедия : в 30 т. / гл. ред. Б. В. Петровский. — 3-е изд. — М. : Советская энциклопедия, 1978. — Т. 8 : Евгеника — Зыбление. — 528 с. : ил.
  • Болезни печени и желчевыводящих путей / Рос. о-во по изучению печени; [Богомолов Павел Олеговичи и др.]; гл. ред. Ивашкин Владимир Трофимович ; ред. Буеверов А. О. [и др.]. — Изд. 2-е испр. и доп. — Москва : М-Вести, 2005. — 536 с. — ISBN 5-901598-12-1.
  • Рубцовые стриктуры желчных протоков / Э. И. Гальперин, Н. Ф. Кузовлев, С. Р. Карагюлян. — Москва : Медицина, 1982. — 240 с.
  • Жёлчнокаменная болезнь и другие нарушения билиарного тракта. / Под ред. А. Н. Калягина. — Иркутск, 2006. — 42 с.
  • Экстренная хирургия желчных путей / Б. А. Королев, Д. Л. Пиковский. — Москва : Медицина, 1990. — 239 с. — ISBN 5-225-01006-7
  • Практическое руководство по заболеваниям желчных путей / Ульрих Лейшнер. — Москва : ГЭОТАР-МЕД, 2001. — 259 с. — ISBN 5-9231-0084-3
  • Свищи желчных путей / П. Н. Напалков, В. Г. Учваткин, Н. Н. Артемьева. — Ленинград : Медицина. Ленингр. отд-ние, 1976. — 150 с.