Флюорография органов грудной клетки

Эта статья входит в число готовых статей
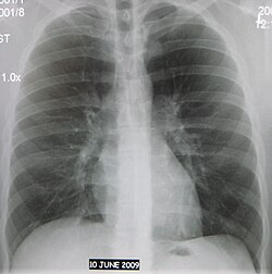
Normal AP.JPG

Флюорогра́фия органов грудной клетки — профилактический метод обследования органов грудной клетки, который проводится с использованием рентгеновского излучения, проходящего через тело человека. Из-за неравномерного поглощения рентгеновских лучей тканями, получается видимое изображение, которое проецируется на флуоресцентном экране[1]. Далее это изображение переносится на фотоплёнку относительно небольших размеров.

Флюорографическое исследование бывает двух видов. Профилактическое — проводится с целью выявления заболеваний и имеет массовый характер. Диагностическое — используется для уточнения локализации и характера поражений органов грудной клетки при наличии симптомов заболеваний. У ряда пациентов заменяет рентгенографию[2].

Что показывает флюорография?

Флюорография проводится с целью своевременного выявления различных патологий лёгких и органов грудной клетки, в том числе протекающих бессимптомно. А также для выявления инородных тел в области грудной клетки[3].

С помощью данного диагностического метода возможно выявить туберкулёз — заболевание, достаточно часто поражающее лёгкие. Также благодаря флюорографии можно диагностировать такие заболевания лёгких и бронхов, как пневмония, бронхит, опухоли, фиброз и другие патологии.

Используется данный метод и при проведении медицинских профилактических осмотров, с целью выявления изменений в структуре лёгких и других органов грудной клетки. Метод позволяет выявить изменения в нормальном изображении органов на ранних стадиях. Также пациенты с заболеваниями лёгких, такими как туберкулёз и опухоли, проходят флюорографию, чтобы контролировать эффективность лечения и выявлять возможные осложнения.

Флюорография используется и в качестве скрининга. Например, для выявления наличия лёгочных заболеваний у населения с повышенным риском развития заболеваний лёгких[4].

Флюорография используется и при исследовании сердца и кровеносных сосудов[3]. Метод позволяет визуализировать камеры, клапаны сердца, сосуды. Благодаря этому, врачи могут выявить аномалии, например, врождённые пороки сердца, проблемы с сосудами[5].

Отличие от рентгена

Передвижной флюорографический кабинет. Казахстан

Флюорография является профилактическим методом и используется даже при отсутствии жалоб, обладает большой пропускной способностью, менее затратна[6]. А рентгенография выполняется только при подтверждении на первичном снимке признаков патологии[5]. Также флюорографические аппараты достаточно компактны, их можно поместить в кузов автомобиля, что делает возможным проведение осмотров там, где отсутствует рентгенодиагностическое оборудование[2].

Виды флюорографии

Существует два вида флюорографии — плёночная и цифровая. При плёночной флюорографии изображение получается небольшого размера, но при этом затрачивается целая бабина плёнки за смену. Именно поэтому для получения результатов флюорографии необходимо подождать 1-1,5 дня. Качество изображения неудовлетворительное из-за небольших размеров плёнки. Во время плёночной флюорографии пациенты получают облучение до 0,8 м3в, а во время рентгена — только 0,10-0,26 м3в.

Современная технология флюорографии — цифровая, которая сейчас практикуется практически во всех медицинских учреждениях. Используя цифровую флюорографию, можно получить максимально точные снимки, в которых можно регулировать контрастность, яркость, увеличивать отдельные участки. При этом результат готов уже через 5-10 минут[7]. Также и доза облучения при этом методе невелика — не более 0,1 мЗв[8].

Правила подготовки и проведения

Флюорография не требует специальной подготовки, единственное требование — воздержаться от курения в течение нескольких часов перед процедурой. Перед началом исследования необходимо обнажить верхнюю часть тела, украшения (цепочки, ожерелья и т. д.) необходимо снять[3]. Длинные волосы, нужно убрать, чтобы они не мешали

Правила проведения

Исследование проводится в вертикальном положении пациента. Затем нужно встать, прижавшись грудью к экрану. Правильно это сделать помогает врач. Далее нужно задержать дыхание на несколько секунд, потому что снимок делается на вдохе, так лёгкие лучше раскрываются и получается более чёткая картина. Затем включается аппарат и делается снимок[3].

Результаты флюорографии обычно выдаются либо сразу, либо на следующий день. Это зависит от медучреждения. В случае острых заболеваний органов грудной клетки (например, пневмонии, пневмоторакса) результаты выдаются пациенту сразу, чтоб он мог получить консультацию специалиста[9].

Как часто проводится

Ежегодно должны проходить флюорографию все лица старше 15 лет. А особенно те, кто относится к группе риска[8]:

  • Больные хроническими неспецифическими заболеваниями легких, болезнями мочеполовой системы, язвенной болезнью желудка и 12-перстной кишки, сахарным диабетом.
  • Лица, получающие кортикостероидную, лучевую и цитостатическую терапию.
  • Лица, без определенного места жительства.
  • Мигранты, беженцы, вынужденные переселенцы.
  • Лица, проживающие в учреждениях социальной помощи для лиц без определенного места жительства и занятий.
  • Работники учреждений социального обслуживания детей и подростков.
  • Работники лечебно-профилактических учреждений, санаториев, образовательных и спортивных учреждений для детей и подростков.

Существуют группы людей, которые должны проходить флюорографию два раза в год. Это люди, перенёсшие туберкулёз в течение первых 3 лет, те, кто был в контакте с туберкулезной инфекцией и ВИЧ-инфицированные. Также внеочередным профилактическим осмотрам подлежат:

  • Лица, обратившиеся за медпомощью с подозрением на туберкулёз.
  • Лица, проживающие совместно с беременными и новорожденными.
  • Граждане, призываемые на военную службу.
  • Лица, у которых диагноз ВИЧ-инфекция установлен впервые[6].

Противопоказания

Флюорография имеет ряд противопоказаний. Она не проводится следующим категориям лиц:

  • женщинам в период вынашивания ребенка (особенно до 25 недели);
  • детям до 15 лет (с 16 до 18 — только при наличии серьёзных показаний);
  • лежащим пациентам, которые не могут даже на короткое время принять вертикальное положение;
  • людям с дыхательной недостаточностью;
  • пациентам с клаустрофобией (боязнью замкнутого пространства)[3].

Вред

Флюорография считается безопасным методом исследования. Рентгеновское излучение исходит от рентгеновского аппарата, только когда он включён.

Дозу рентгеновского излучения измеряют в миллиЗивертах (мЗв). Доза облучения при различных исследованиях: плёночная флюорограмма — 0,5 мЗв (цифровая флюорограмма — 0,05 мЗв), в то время как плёночная рентгенограмма — 0,3 мЗв за процедуру (цифровая рентгенограмма — 0,03 мЗв); компьютерная томография — 11 мЗв. Магнитно-резонансная томография не несёт лучевой нагрузки[10].

Для сравнения ионизирующее излучение, которое человек ежегодно получает из окружающей среды, составляет 2,4 мЗв. Таким образом, получается, что современная цифровая флюорография даёт дозу в 48 раз меньшую, чем годовое облучение. По медицинским требованиям, доза рентгеновского излучения не должна превышать 1 мЗв в течение года[11][12]. Таким образом, цифровой рентген грудной клетки можно выполнять до 20 раз за год.

См. также

Примечания

  1. О ФЛГ. Ассоциация фтизиатров Республики Саха (Якутия). Дата обращения: 20 ноября 2024.
  2. 2,0 2,1 Труфанова Г. Е. Лучевая диагностика:учебник для вузов / В. И. Амосов., В. Г. Мазур. — Москва: ГЭОТАР-Медиа, 2007. — С. 25. — 416 с. — ISBN 978-5-9704-0416-4.
  3. 3,0 3,1 3,2 3,3 3,4 Правила подготовки к диагностическим исследованиям. ГБУЗ «Противотуберкулёзный диспансер №1». Дата обращения: 20 ноября 2024.
  4. Что такое флюорография?. АКБ ФГБУЗ ЮОМЦ ФМБА России. Дата обращения: 20 ноября 2024.
  5. 5,0 5,1 Правила подготовки к флюорографии. Лечебно-диагностический центр. Дата обращения: 20 ноября 2024.
  6. 6,0 6,1 Что «покажет» флюорография?. Республиканский клинико-диагностический центр Министерства Здравоохранения Удмуртской Республики. Дата обращения: 20 ноября 2024.
  7. Цифровая флюорография что это такое, и вреден ли этот вид исследования?. Медицинский портал Чувашской Республики.. Дата обращения: 20 ноября 2024.
  8. 8,0 8,1 Мещерякова П. Вредна ли флюорография?. БУЗ ВО "Россошанская РБ". Дата обращения: 20 ноября 2024.
  9. Правила подготовки к диагностическим исследованиям. Государственное бюджетное учреждение здравоохранения Ямало-Ненецкого автономного округа "Муравленковская городская больница". Дата обращения: 20 ноября 2024.
  10. Заполнение форм Федерального государственного статистического наблюдения N 3-ДОЗ. Методические рекомендации Роспотребнадзора по обеспечению радиационной безопасности от 16 февраля 2007 г. N 0100/1659-07-26. Медицинский портал (16 февраля 2007). Дата обращения: 20 ноября 2024.
  11. Требования по обеспечению радиационной безопасности персонала, пациентов и населения при проведении медицинского рентгеновского исследования. Управление Федеральной службы по надзору в сфере защиты прав потребителей и благополучия человека по Республике Мордовия. Дата обращения: 20 ноября 2024.
  12. Онищенко Г. Г. Об утверждении СанПиН 2.6.1.2523-09. — Федеральный центр гигиены и эпидемиологии Роспотребнадзора, 2009.